
Contrast-enhanced ultrasound (CEUS) offers an effective, low-cost way to further evaluate hepatic and renal lesions found on ultrasound, and it could be used instead of more expensive imaging modalities for following up patients, according to a study published online August 31 in Ultrasound Quarterly.
The findings are good news not only for patients but also for a healthcare system burdened by high costs, wrote a team led by Dr. Jeffrey Streb, PhD, from the University of Southern California (USC). Traditionally, follow-up of these types of lesions is conducted with CT or MRI -- expensive technologies that can delay diagnosis and also expose patients to radiation or gadolinium contrast.
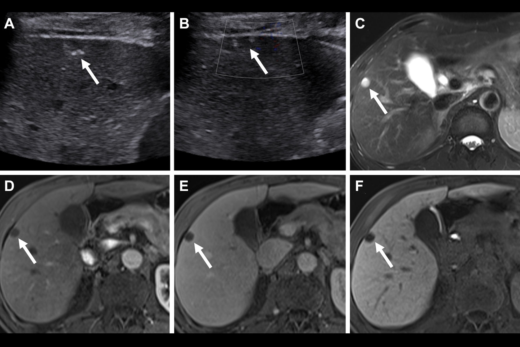
"As a large number of hepatic and renal lesions are detected during initial ultrasound, the ability to perform CEUS at time of initial examination or shortly thereafter can obviate the need for further workup with contrast-enhanced CT or MRI," Streb and colleagues wrote.
For the study, the researchers reviewed 117 CEUS exams performed at Los Angeles County General between September 2014 and September 2015, as well as 127 CT and 20 MRI exams performed there during a three-month subset of this time frame to compare time to diagnosis. They included both low- and high-risk patients presenting for routine evaluation or further characterization of liver or kidney lesions.
The group then assessed the cost efficacy of the three modalities by calculating the number of CT and MRI exams that would be avoided by using CEUS and applying current Medicare costs to the annualized number of those exams.
The mean time to completion for outpatient exams -- that is, the time between the initial study request and a final diagnosis -- was significantly shorter with CEUS, at 5.2 days, compared with 52.3 days for CT and 123.5 days for MRI. Of all CEUS exams, most (87.5%) were performed within two weeks of the initial ultrasound; in fact, 78.4% were performed on the same day.
| CT, MRI, and CEUS in outpatient liver and kidney lesion follow-up | |||
| Measure | CT | MRI | CEUS |
| Mean time to final diagnosis | 52.3 days | 123.5 days | 5.2 days |
| Percentage of exams performed within 2 weeks of initial ultrasound | 22.4% | 0% | 87.5% |
Overall, 66.7% of the CEUS exams were considered sufficiently diagnostic to eliminate the need for further workup with CT or MRI. By specific lesion type, 71.2% of CEUS liver exams and 55.2% of CEUS kidney exams were deemed adequately diagnostic to avoid follow-up CT or MRI.
As for how the use of contrast ultrasound affected healthcare costs, Streb and colleagues calculated an expected yearly reduction of 339 CT and 53 MRI exams achieved with 523 CEUS exams, which translated to a projected annual savings of $117,000 at Los Angeles County General.
"Our single-center study demonstrates that diagnostic delays and healthcare expenditures may be reduced by using CEUS as an alternative to CT or MRI in the evaluation of hepatic and renal lesions," the group concluded.
Study disclosures
Co-authors Dr. Edward Grant and Dr. Hisham Tchelepi, both of USC, received grant support from GE Healthcare for the study.


















