
The Thyroid Imaging Reporting and Data System (TI-RADS) and a deep-learning algorithm based on ultrasound images can both be alternatives for evaluating thyroid nodules in young patients, a study published October 19 in the American Journal of Roentgenology found.
Researchers led by Jichen Yang from Duke University found that these two methods had higher sensitivity but lower specificity when compared with the overall impressions of radiologists. Additionally, interobserver agreement was higher for TI-RADS than for overall impressions.
"Given the heightened priority for sensitivity when evaluating thyroid nodules in children, compared with in adults, the findings support the continued exploration in children of ACR TI-RADS and of the deep-learning algorithm," Yang and co-authors wrote.
Thyroid nodules in children have traditionally been evaluated based on the overall impressions of radiologists looking at ultrasound images. The American College of Radiology (ACR) in 2017 developed a standardized TI-RADS risk-stratification system in order to decrease the number of unnecessary biopsies for benign nodules. The system aims to inform practitioners about which thyroid nodules require biopsy.
Yang and colleagues wanted to compare the impression of radiologists to TI-RADS, as well as a previously developed deep-learning algorithm in determining which thyroid nodules found on ultrasound are benign or malignant in children and young adults.
The team tested these methods on data collected between 2004 and 2020 from 139 patients (119 female, 20 male) who were 21 or younger. The patients presented with a thyroid nodule on ultrasound with definitive pathologic results from fine-needle aspiration and/or surgical excision.
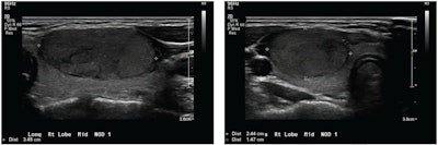
Longitudinal and transverse grayscale ultrasound images show a thyroid nodule in a 17-year-old patient with benign follicular adenoma, based on surgical excision alone. The overall impression for all three radiologists was benign (true negative). The ACR TI-RADS recommendation for all three radiologists was fine-needle aspiration (false positive). The deep-learning algorithm recommendation was also fine-needle aspiration (false positive). Images courtesy of ARRS.Three radiologists independently characterized nodules as benign or malignant based on overall impression and TI-RADS. The algorithm meanwhile determined the malignancy likelihood for each nodule, which was used to derive risk level. From there, each method was compared for sensitivity and specificity, with radiologist impressions having the advantage for specificity. However, TI-RADS and the algorithm showed higher sensitivity.
| Comparison between radiologist impressions, TI-RADS, and deep-learning algorithm in characterizing thyroid nodules | |||
| Radiologist impressions | TI-RADS | Algorithm | |
| Sensitivity | 58.3% | 85.1% | 87.5% |
| Specificity | 79.9% | 50.6% | 36.1% |
The team also found that interobserver agreement among pairwise combinations of readers, expressed as kappa, for overall impression was 0.227 to 0.472. For TI-RADS, this range was from 0.597 to 0.643.
The authors wrote that TI-RADS and the algorithm could aid in guiding decisions to perform fine-needle aspiration. However, they added that further training and validation using pediatric data are needed before the algorithm can be applied to regular clinical practice. They noted the algorithm was initially trained on adult patients.




















