
While full-field digital mammography (FFDM) does offer some advantages over digital storage phosphor mammography (DSPM, also known as CR mammography), ultimately both systems are equal for lesion detection and characterization, according to a group from the University of Vienna.
At the 2003 RSNA conference in Chicago, Dr. Wolfgang Matzek presented a paper that compared flat-panel FFDM to DSPM for the detection of breast cancer. The prospective analysis focused on 152 patients who underwent two-view imaging on an FFDM unit (Senographe 2000D, GE Healthcare, Waukesha, WI) and a conventional mammography unit (Mammomat 3000 Nova, Siemens Medical Solutions, Erlangen, Germany) outfitted with a CR cassette (FCR 5000MA, Fuji Medical Systems, Tokyo).
Hard copies of the images from both systems were obtained for analysis by five radiologists, who independently evaluated each case in a direct comparison. They rated the images on a five-point scale (one for excellent; five for unsatisfactory), looking for quality, contrast, sharpness, blackness, noise, artifacts, skin, retromamillary space, parenchymal structures, and detection of calcifications. Using BI-RADS classification, two others readers assessed for lesion detectability and characterization.
![]() ![]() |
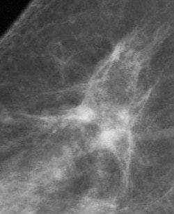
FFDM images acquired on the Senographe 2000D, including zoom (middle) and magnification (below). Images courtesy of Dr. Wolfgang Matzek.
![]() |
According to the final analysis, image quality was significantly better with FFDM in all categories except blackness (p<0.05). For BI-RADS categorization, the sensitivity of FFDM was 97%, with a confidence interval (CI) ranging from 91% to 97%. For DSPM, the sensitivity was 100%, with a confidence interval from 95% to 100%. The positive predictive value was 54% for FFDM (46%-63% CI) and 56% for DSPM (48%-65% CI). However, these latter results did not achieve statistical significance (p>0.05).
![]() ![]() |
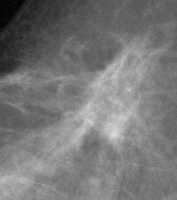
DSPM images acquired on the Mammomat 3000 Nova, including zoom (middle) and spot magnification (below). Images courtesy of Dr. Wolfgang Matzek.
![]() |
These results matched an earlier paper from radiologists at the University of Erlangen in Nurnberg, Germany. They performed a retrospective clinical-histological study to determine the diagnostic accuracy of mammography for detecting microcalcifications and focal lesions using three modalities: conventional screen-film printed to film (hard copy), high-resolution digital storage-phosphor mammography printed to film (hard copy), and DSPM reviewed on a monitor (soft copy).
According to their results in 76 patients, the accuracy of conventional screen-film mammography was 67% for all findings. The accuracy of DSPM printed to hard copy was 65%, while DSPM reviewed on a monitor rated 68%. For microcalcifications, the accuracy was 59% for screen-film, 59% for digital mammography, and 68% for monitor-displayed mammography. For focal lesions, the numbers came in at 75%, 72%, and 63%, respectively.
"Our findings indicate equivalence of conventional screen-film mammography, high-resolution digital (storage-phosphor) plate mammography, and monitor-displayed mammography," they wrote (RöFo - Fortschritte auf dem Gebiet der Röntgenstrahlen und der bildgebenden Verfahren, September 2003, Vol. 175:9, pp.1220-1224).
By Shalmali PalAuntMinnie.com staff writer
February 23, 2004
Related Reading
Fujifilm highlights CR, PACS introductions, December 4, 2003
Chest CR outperforms screen-film catheter localization, May 26, 2003
Flat-panel unit beats CR for digital mammography, March 7, 2003
Copyright © 2004 AuntMinnie.com


























