
Cooled radiofrequency (RF) ablation procedures can relieve pain that persists following total knee replacement, according to new research being presented at the RSNA 2021 meeting in Chicago.
In a study involving over 20 patients, researchers led by Dr. Felix Gonzalez of Emory University in Atlanta found that their cooled RF ablation technique yielded a statistically significant improvement in quality of life -- without any complications.
"This procedure can have a huge impact in patients who have gone through major surgery and are still suffering pain that is very debilitating," said Gonzalez in a statement from the RSNA.
Although a growing number of patients with severe arthritis are receiving total knee arthroplasty, approximately 15% to 30% of these patients continue to experience knee pain and stiffness after the knee replacement, according to the researchers.
To provide another treatment option, the researchers sought to utilize cooled RF ablation, a procedure that involves inserting an introducer needle around the knee under local anesthesia to target specific nerve locations.
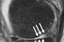
After introducer needle is put into position, the radiofrequency ablation electrode is placed into the introducer needle. Positioning was verified with imaging. All images and caption courtesy of Dr. Felix Gonzalez and the RSNA.After a probe is guided through the introducers, the tip of the probe then imparts radiofrequency to the deep sensory nerves around the knee. Importantly, the water circulating through the system enables greater dissipation of heat from the probe's tip, according to the researchers.
"With a larger propagating heat wave, you can account for the differences in nerve anatomy from patient to patient because of a larger treatment zone," Gonzalez said. "Treating a larger zone increases the effectiveness of the procedure."
After demonstrating in previous research that the method can lead to lasting pain relief in people with knee, shoulder, and hip arthritis, the researchers applied cooled RF ablation in this study to 21 patients who were experiencing chronic pain after total knee replacement. All of these patients had no underlying hardware complications and had failed conservative care.
The participants filled out questionnaires both before and after the procedure to assess pain severity, stiffness, functional activities of daily living, and use of pain medication. In addition, follow-up scores were collected up to one year after the procedure.
On average, the patients reported a statistically significant improvement in quality of life, with dramatic improvements in both pain and stiffness scores. What's more, none of these patients required repeat treatment, surgical revision, or other intervention, according to the researchers. There were also no complications.
Cooled radiofrequency ablation technique.The authors note that the long-term relief from cooled RF ablation is a major advantage over cortisone injections, which only provide an average of about three months of pain relief in treating knee arthritis. The procedure can be easily repeated as it's minimally invasive, and it can also reduce or eliminate the use of opioid pain relievers.
"We hope that this procedure will become a standard of treatment for pain in this setting," Gonzalez said.




















