
By now we're all too familiar with the horrors that faced Gulf Coast hospital staff during Hurricane Katrina -- patients stranded on roof tops, entire medical centers relying on a few power generators, and doctors fending off armed looters looking to raid the pharmacy.
While medical professionals in New Orleans tried to hold down the fort, those stationed in the nearby cities of Gulfport, MS, and Houston were called upon to set up emergency healthcare services. Of course, imaging services were mandatory. AuntMinnie.com spoke with three healthcare specialists who answered the call during those frantic days after the storm hit.
GRBCC clinic
On the morning of September 2, Dr. Michael Bungo got a phone call from Houston Mayor Bill White: How fast could Bungo set up a clinic for 4,000 Katrina evacuees at the George R. Brown Convention Center (GRBCC)?
The answer turned out to be pretty darn fast -- the GRBCC clinic was operational by 5 p.m. on the same day White called Bungo, who is the vice dean for clinical affairs at the University of Texas Medical School and chief of staff at Lyndon B. Johnson General Hospital, both in Houston. The first evacuees arrived six hours later.
The clinic was a collaborative effort between the university, the hospital, the Memorial Hermann Healthcare System, and the mayor's office. They initially saw 1,000 patients daily, Bungo told AuntMinnie.com. The clinic was staffed by volunteer doctors, most of whom came from the medical school. But doctors from as far away as New York and California "just showed up at the door," he said.
![]() |
| Above, the triage center at GRBCC clinic. Below, the UT dental van gives Katrina evacuees a reason to smile. Images courtesy of UT Health Science Center at Houston. |
![]() |
A van and a trailer truck parked inside the convention center became the clinic's imaging department. Within the truck "was a self-contained x-ray suite and developing room, with little changing rooms. We also had a portable bedside-type x-ray unit. The one inside the van was bigger, but it wasn't exactly new. You could take plain chest films with it, but a lot of films were taken with just this portable unit on the floor," Bungo explained.
"Most of the films I saw were related to trauma -- somebody banged a foot or a head -- both storm-related and evacuation-related, even onsite-related," Bungo said. "There were a lot of serious conditions, a lot of skin infections and rashes. Some of the films were looking for osteomyelitis from deeper infections."
A chiropractor ended up taking most of the x-rays, which were developed onsite. Initial interpretation was done by the physician who had ordered the test, but films were sent to the medical school at the end of the day and overread by radiologists, Bungo explained. Final reports were generated and sent back to the clinic the next day.
![]() |
| Ronda Lowe, an administrative services officer at the UT dental branch, enjoys some quiet time with evacuee Devon Warren at GRBCC clinic. Image courtesy of UT Health Science Center at Houston. |
Fast turnaround time was mandatory given the sheer volume of patients that turned up. "There were 9,000 to 11,000 patients," Bungo said, easily topping the mayor's office initial estimate of 4,000. For four straight days, the GRBCC radiology clinic operated seven days a week, 24 hours a day.
Astrodome
Meanwhile, eight miles away at the Reliant Astrodome, a similarly hectic scene was unfolding. The Baylor College of Medicine and the Harris County Hospital District needed to set up an imaging clinic for the 25,000 evacuees who were already on their way. By August 30, Dr. Michel Mawad, chairman of the radiology department at Baylor, and Don Deckard, regional vice president in Houston for Siemens Medical Solutions, were on the job.
![]() |
| The pediatric triage area at the Astrodome. Image courtesy of Memorial Hermann Healthcare System. |
"We had two digital Mobilett x-ray units and two digital Sequoia ultrasound units on trucks that evening, and they arrived the next morning. A mobile CT unit was driven in from Illinois a couple of days later," Deckard told AuntMinnie.com. The latter was parked next to Ben Taub Hospital, about three miles away from the Astrodome, in the event a patient needed urgent care.
![]() |
| Above, the x-ray suite at the Astrodome. Below, a Baylor resident does initial onsite reads. Images courtesy of Siemens Medical Solutions. |
![]() |
The Astrodome imaging setup also included a miniteleradiology system. "They wanted some way to take a trace and then transmit (images)," Deckard said. "Some local service engineers set everything up to funnel all the images into a Leonardo miniworkstation. Baylor provided a resident to do quick reads and see what patients needed to do next, perhaps go to Ben Taub or one of the Baylor clinics. We set up a T1 line so we could push the images to physicians there."
"There were quite a variety of images," he continued. "They had everything from normal doctors' visits to storm-related cuts, bruises, and scrapes. There were very few really serious injuries that required transport. The two ultrasound systems were ready to do cardiac, GI, anything. But they had so many ladies who needed ob/gyn services that they dedicated one to that."
The Astrodome clinic also operated 24/7 for the first week post-Katrina. At its peak, the staff saw 150 patients per hour, eventually helping 15,000 evacuees.
DMORT in Gulfport
Four hundred miles west of Houston, imaging specialists in Gulfport, MS, had a rather gruesome task. The Disaster Mortuary Operational Response Team (DMORT) is a division of the Federal Emergency Management Agency (FEMA). Its members are volunteers who mobilize in disaster situations to identify the dead. In Gulfport, more than 900 bodies had to be accounted for.
Nancy Adams, clinical coordinator for the radiology program at Itawamba Community College in Fulton, MS, and a DMORT veteran, was deployed on August 28 with a forensic pathology team. What they didn't have was the right equipment or accommodations.
The staff of 150 was expected to make a damaged military hangar -- sans utilities -- as their home away from home.
"We didn't have facilities of any kind, except the generator power in the morgue," Adams said. "We had (meals ready to eat) and bottled water, and one Porta-John for all of us." The 100˚ temperature combined with the smell of chemicals, the latrine, and hundreds of bodies made for an interesting olfactory experience, she added.
The team slept in their vehicles at first, then in the refrigerator trucks that would eventually store bodies. "At least they were air-conditioned," Adams joked.
In terms of imaging equipment, "we had two older (GE Healthcare) AMX portable x-ray units and two tabletop processors. One portable's battery was dead, and the replenisher pump was out on one of the processors. The other one had a block we couldn't find. We had a darkroom made of VisClean bags and duct tape," Adams explained.
So Adams called on Mid-South X-ray, an equipment dealer in Jackson. Mid-South donated two truckloads of parts, chemistry, film, screens, and service people. Adams' team started work right away, outfitted with a military version of a MinXray portable.
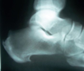
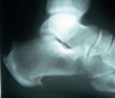
![]() |
| If the frontal sinuses (above) of an unidentified corpse are intact, they can be as distinctive as fingerprints. Bone spurs (below) can also be unique identifying markers, as these two example x-rays show. Images courtesy of Nancy Adams. |
![]() |
Eventually, the DMORT team was outfitted with a digital x-ray system. "Digital makes life so much easier for us, because we don't have to deal with processing and hard-copy film and storage. I was able to zoom in and increase contrast to compare things on antemortem and postmortem films. We averaged about 10 films per body. There were so many bodies, just one right after another," Adams said.
Adams offered some details on how forensics experts apply imaging to body identification. Frontal sinuses "can be as unique as fingerprints," she said. "You also do the feet. There will be bone spurs on the heels. Another thing is the legs. One individual had a total knee replacement."
In one case, the x-ray showed a distinctive femoral callous formation indicating that "the patient had had orthopedic surgery and some type of prosthesis involving screws or a compression plate, and there was a tiny piece of metal still left in the fracture site. (That would be) a positive way to identify that body."
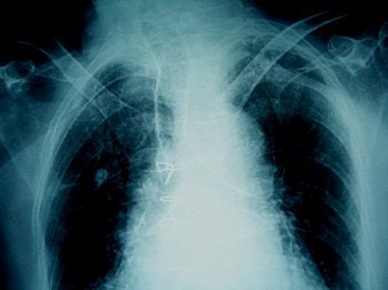
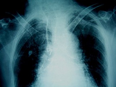
![]() |
| A representative image of calcifications, surgical sutures, and wires, most likely from open-heart surgery. DMORT members can use this type of information to match bodies to medical records, provided the latter still exist. Image courtesy of Nancy Adams. |
The DMORT team also used x-rays of hands and digits for bone age comparison, which was useful in identifying elderly victims with degenerative changes and bone density decreases, she said.
However, acquiring antemortem films for comparisons was a challenge, noted Adams. "Physicians and dental offices were hit pretty hard. A lot of their records were either waterlogged or sucked out into the Gulf," she said. Most comparison images came from the larger hospitals in the area, provided that they were still functioning.
Initial hardships aside, Adams was particularly moved by the outpouring of assistance. "The devastation was so total and so widespread," she said. "We had wonderful people who came in from all over the country. And the survivors, they would stop us and thank us if we were out anywhere. One of the fire departments was cooking for everybody; the local people would come in and say, 'I don't have a job or a house, so I thought I'd come down and help.' It was an absolutely amazing experience."
By Sydney Schuster
AuntMinnie.com contributing writer
December 27, 2005
Related Reading
HHS partners for Gulf Coast recovery digital records, November 18, 2005
Flooded library leaves LSU imaging residents stranded without textbooks, November 1, 2005
Tenet says to restore New Orleans facilities, October 24, 2005
Copyright © 2005 AuntMinnie.com




























