
Current radiology practice gives radiologic technologists significant leeway in deciding whether to retake radiographs that might not be up to snuff. But should the weight of that decision rest on their shoulders alone? Researchers investigated the question in a September 12 study published in the American Journal of Roentgenology.
A group from NYU Langone Medical Center found that many repeat radiographs taken by technologists were unnecessary for the effective diagnosis of medical issues. In most instances, they didn't add significant clinical information or alter the diagnosis, lead author Dr. Andrew Rosenkrantz and principal investigator Dr. Michael Recht told AuntMinnie.com.

"I know on a daily basis we repeat x-rays ... because there's wrong positioning, overpenetration, underexposure," said Recht, chair of the radiology department at NYU School of Medicine. "And my feeling was that we weren't really spending enough time looking at that, that we kind of take it for granted."
Comparing images
The researchers wanted to look at repeat rates by radiologic technologists to see if they were appropriate and whether they affected patient outcomes in a positive way (AJR, September 12, 2017).
"The question is: Could we decrease [repeat rates] and decrease radiation dosage?" Recht told AuntMinnie.com.
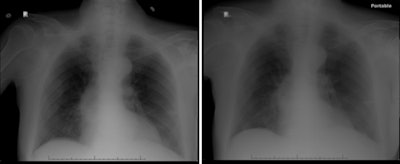
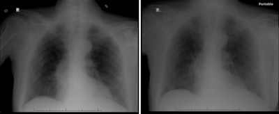
For the study, the researchers collected 100 musculoskeletal and 100 chest radiographs for which the corresponding technologist chose to retake an image citing an issue with image quality. Musculoskeletal radiographs were obtained in February 2015 from an outpatient musculoskeletal imaging center, while chest radiographs were obtained during October to December 2015 from an affiliated hospital.
Radiologists reviewed both rejected and repeated images, and they did the analysis again at least six months later.

The radiologists assessed the value of the repeat radiographs in the context of patient care, taking into account several key features: agreement with the technologists' reason for rejecting the image, need for the repeat image to address the clinical question, improvement in quality of the image, and provision of additional helpful information.
Rosenkrantz, Recht, and colleagues found that out of the 95 musculoskeletal cases, 74 could have been resolved without a repeat image. And out of a total 87 chest cases, 81 could have been handled with the original image alone.
Radiologists' assessment of radiographs that were repeated | |||||
Musculoskeletal radiographs | Chest radiographs | ||||
Agreed with reason for rejecting first image | 64.2% | 60.9% | |||
Medical question could have been satisfied without repeat image | 77.9% | 93.1% | |||
Repeat image provided additional useful information | 28.4% | 3.4% |
Although the repeat images demonstrated noticeable improvements in quality, the radiologist often did not agree with the reason for repeating the image and the clinical question frequently could have been answered without having to repeat the image, they noted.
Safety first
Importantly, the authors also estimated that the total radiation exposure associated with repeat radiographs was 25.1 mSv for musculoskeletal radiographs and 2.24 mSv for chest radiographs. These numbers echo clinicians' concerns about the risk of heightened exposure to radiation.

"Our job as radiologists is to make sure we only use ionizing radiation in as low a dose as reasonably possible and appropriate," Recht said. "If there's something that we can do better to decrease radiation, then it's really our obligation to do that."
The inherently subjective nature of gauging the diagnostic value of images is the primary limitation of this study, according to the researchers. In addition, NYU Langone hasn't yet decided to change its protocol allowing technologists to retake images.
"The best approach still remains to be decided: technologist education for sure; having super technologists; using informatics to allow more offsite supervision by radiologists," Rosenkrantz said. "I don't think there's one right answer. I think we've shown that more work needs to be done."
The study raised the question of whether it might be best for a dedicated senior technologist or the radiologists themselves to determine when radiographs need to be repeated until the ideal method is identified. The authors are now working on a study to implement (and make user friendly) various IT tools to help resolve the issue.
"Hopefully, we call attention to the issue and other departments will monitor it for themselves and pursue their own solutions," Rosenkrantz said. "We hope that it will eventually be addressed all across radiology."