Use of a convolutional neural network (CNN) trained with photon-counting CT (PCCT) data improves the image resolution of coronary CT angiography (CTA) exams, according to research presented December 1 at the RSNA meeting.
"[Our CNN] enhanced image resolution and reduced image noise, resulting in improved overall image quality and reduced calcium blooming artifacts in coronary CTA exams performed using EID [energy-integrating detectors]-CT," presenter Emily Koons told session attendees. Koons is a graduate student at the Mayo Clinic in Rochester, MN.
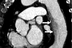
Coronary CT angiography has relatively low specificity for evaluating coronary artery disease, especially when it comes to assessing whether lumina are open in the presence of heavy calcifications due to calcium blooming, Koons said.
"[The quality of] coronary CTA is primarily limited by the spatial resolution of the system," she explained.
Koons and colleagues developed and assessed the performance of a CNN called Improved LUMEN visualization through Artificial super-resoluTion imagEs (ILUMENATE) in a study that included 30 patients who underwent coronary CTA. The patients were scanned with a conventional CT system as well as an ultrahigh resolution PCCT system on the same day. Of these 30 exams, eight were used to train the CNN and 22 were used as a test set to assess the algorithm's performance. Two cardiovascular radiologists who were blinded to image type compared the conventional exams to the ILUMENATE exams for overall quality, sharpness (with 1 equal to worst and 5 equal to best), and noise (1 equal to worst and 4 equal to best).
The two readers identified stenotic lesions in 22 test patients. Koons' team reported that ILUMENATE reduced percent diameter stenosis by an average of 5.3% (p < 0.001) and that the two readers preferred ILUMENATE images in all 22 cases.
Koons and colleagues also reported that the ILUMENATE exams demonstrated better image quality, sharpness, and decreased noise:
| Performance comparison of conventional CTA to ILUMENATE-aided CTA by reader | ||
|---|---|---|
| Measures | Conventional CTA | ILUMENATE CTA |
| Reader 1 | ||
| Image quality (scale, 1 to 5) | 3.5 | 3.9 |
| Sharpness (scale, 1 to 5) | 2.9 | 3.9 |
| Noise (scale, 1 to 4) | 3 | 3.9 |
| Reader 2 | ||
| Image quality (scale, 1 to 5) | 3.9 | 4.7 |
| Sharpness (scale, 1 to 5) | 3.1 | 4.9 |
| Noise (scale, 1 to 4) | 3.4 | 4 |
The bottom line? ILUMENATE shows promise for improving the evaluation of lesions in individuals with heart disease, according to the researchers.
"The … improved lumen visibility with ILUMENATE could allow ultrahigh resolution cardiac CT to be performed using conventional … CT scanners and allow for more accurate assessment of stenotic lesions in patients with coronary artery disease," Koons and colleagues noted.
For full 2024 RSNA coverage, visit our RADCast.


















