Sarcoid Stage 1:
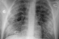
The patient is an active duty troop who presented to the emergency department because of URI complaints. The chest radiograph demonstrated right paratracheal and bilateral hilar adenopathy (the "1-2-3 sign" of sarcoid). Transbronchial biopsy confirmed the diagnosis of sarcoid. (Click here to view the lateral exam which demonstrated increased density over the hila)







