Cystic Fibrosis:
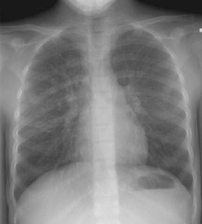
The CXR demonstrates the characteristic findings of cystic fibrosis with predominantly upper lobe involvement. A ring shadow indicative of bronchiectasis can be seen in the right upper lung.

The CXR demonstrates the characteristic findings of cystic fibrosis with predominantly upper lobe involvement. A ring shadow indicative of bronchiectasis can be seen in the right upper lung.
