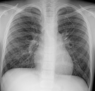
LymphoproliferativeLymph > LIP > Images > Case1Scott WilliamsApr 2, 2002 Lymphocytic Interstitial Pneumonitis: This is a film on an 11 year old HIV positive male. The CXR reveals a diffuse, symmetric nodular pattern. The nodules were noted to wax and wane in size and number over time. Latest in LymphoproliferativeLymph > Nodular lymphoid hyperplasiaFebruary 12, 2014SponsoredClinically Meaningful AI Detection of Interval CancersNovember 1, 2025Lymph > Pulmonary lymphangiectasisJanuary 3, 2010Lymph > GeneralApril 2, 2002Related StoriesLymphoproliferativeLymph > Lymphoma > HodgkinsLymphoproliferativeLymph > Lymphoma > Non-Hodgkins > Images > Nonhodgkins > Case1LymphoproliferativeLymph > Lymphoma > Non-Hodgkins > Images > Nonhodgkins > Case2Sponsor ContentClinically Meaningful AI Detection of Interval Cancers