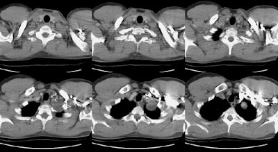
Schwannoma:
The CT scan revealed a homogeneous low density mass within the left lung apex- on careful evaluation, the mass could be seen extending outside the thoracic cavity and into the T1 neural foramena (middle image on top row) (Click here to view bone windows).




