Left upper lobe collapse
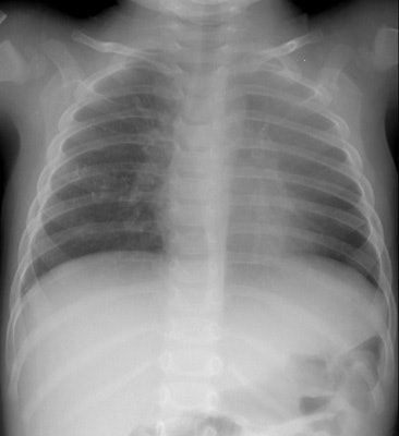
The patient below presented with a history of reactive airways disease and shortness of breath. The frontal CXR demonstrated a vague opacity in the left upper lung that obscured the left upper mediastinal border and a segment of the left heart border. Note that the lateral edge of the opacity is ill-defined. The left hila was slightly uplifted. Lateral CXR demonstrated a retrosternal density (black arrows) representing the collapsed left upper lobe displaced anteriorly. |
|








