Pneumocardia:
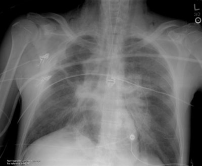
Pneumocardia is a condition which is obviously incompatible with life. The CXR in this case was performed during a resuscitation attempt in a patient with a history of prior lung cancer (post radiation therapy changes can be seen in the right hemithorax). During the resuscitation, pericardiocentesis was attempted and air was likely introduced into the heart during the procedure. The image is a rather dramatic example of pneumocardia. The right atrium is air filled and appears as a rounded area of radiolucency in the anticipated location of the right heart border. Air outlines trabeculations within the ventricular chambers. Air can be identified in the left common carotid artery (coursing superiorly in the left neck) and also in the left vertebral artery. The patient also demonstrates pneumopericardium (air outlines the entire heart) and linear collections of air in the right neck are suspicious for pneumomediastinum. There is a curvilinear collection of air seen laterally below the right hemidiaphragm, and one may also question the presence of pneumoperitoneum.








