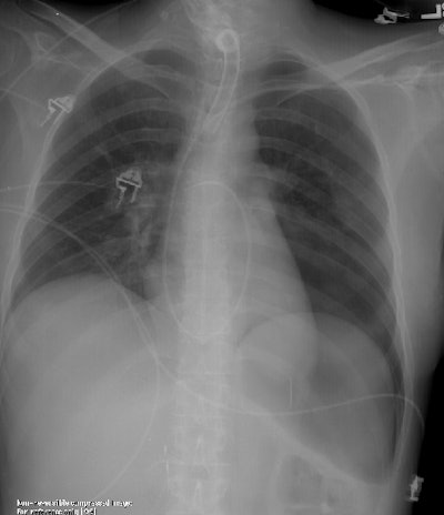
Pneumothorax in a supine patient- the "Deep Sulcus Sign"
The film below was taken on an ICU patient following placement of a Swan-Ganz catheter. The exam demonstrates a large left pneumothorax with a characteristic "deep sulcus sign" in this supine patient.







