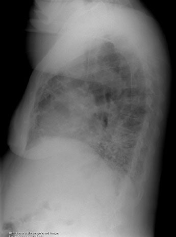
Bronchiectasis:
This middle aged patient presented with complaints of hemoptysis. The chest radiographs demonstrated branching tubular densities within the left lower lobe- the finding was better appreciated over the spine on the lateral view (arrow below), but can also be seen on a magnified image of the PA exam. Branching tubular densities are sometimes referred to as the "finger-in-glove" appearance of mucous filled dilated bronchi. Click here to view the patients CT scan.

Lateral:








