
Physicians may want to more closely consider the rationale for ordering routine daily chest radiographs on mechanically ventilated patients who lack specific clinical indications that recommend imaging, according to a study published in the May issue of Radiology.
A meta-analysis of published clinical trials indicates that routine radiography procedures for patient undergoing treatment in an intensive care unit (ICU) often have no effect on mortality, length of stay, and other clinical outcomes. The study was conducted by Dr. Yuji Oba and Dr. Tareq Zaza at the University of Missouri in Columbia (Radiology, May 2010, Vol. 255:2, pp. 386-395).
The researchers examined 22 published studies involving 7,078 ICU patients. Of that total, 3,429 received daily routine radiographs, and 3,649 underwent "on-demand" radiographs only when clinical indications for imaging were observed.
Their pooled analysis showed the procedures had no significant effect on mortality, length of stay, or the average length of time patients were ventilated. An accompanying regression analysis failed to identify any subgroup that benefited from the procedures.
"Many routine x-rays in the ICU are not helpful," Oba said in a telephone interview. "They just provide a false sense of security and may even lead to unnecessary interventions, especially when they are not reviewed in the context of clinical findings."
It would be hard to find a procedure more routine than daily x-rays for patients treated in the ICU for severe cardiopulmonary disease, especially when mechanical ventilation is required. Many internists and pulmonologists treating these patients would argue the procedures must be performed to monitor for pneumonia and to check the position of mechanical ventilation lines and feeding tubes. Others believe physical examination is equally appropriate for such diagnostic tasks.
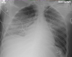
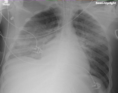
![]() |
| Routine daily radiographs of ventilated patients in the ICU can often be avoided without affecting clinical outcomes. Image courtesy of Dr. Yuji Oba. |
American College of Radiology (ACR) Appropriateness Criteria, last reviewed in 2008, recommend daily chest radiographs for patients with acute cardiopulmonary problems and for patients on mechanical ventilation. But they also recommend against routine daily radiography for stable patients admitted for cardiac monitoring or extrathoracic disease if they do not express specific clinical indications for imaging.
Findings by Oba and Zaza, who was a senior fellow in pulmonary and critical care medicine during the analysis, were swayed by large studies published in 2003 and 2008 that questioned the procedure's clinical value (Chest, 2003, Vol. 123:5, pp. 1607-1614; Intensive Care Medicine, 2008, Vol. 34:2, pp. 264-270). Other influential studies concluded that abnormalities detected with routine x-rays were too minor to affect outcomes for most patients.
As expected, patients who received routine daily radiography were subjected to more imaging than patients who were imaged only when specific indications were identified. From study to study, routine imaging translated into 2.4 to 10.5 radiographs per patient. Patients who underwent radiography only in response to specific clinical indications received an average of 0.4 to 4.4 chest x-rays.
Oba estimated that routine chest radiographs performed in the ICU could be reduced by at least 20% without affecting outcomes by limiting imaging to such on-demand situations.
Radiologists who wrote the ACR guidelines may have been overly influenced by studies from the 1980s and 1990s that exaggerated the clinical value of routine radiographs, Oba said. Those studies tended to be observational in nature, lacked a comparison group, and did not report patient outcomes, such as length of mechanical ventilation, ICU stay, and mortality. The value of routine imaging for identifying poorly positioned pulmonary ventilators may have also been overestimated, he said.
Oba and Zaza's findings concur with a recent French survey that found that three of four ICU specialists believed that daily routine radiography was unnecessary for intubated patients (Chest, 2008, Vol. 133:5, pp. 1107-1112). German government regulations actually prohibit chest radiographs without a documented clinical indication, Oba noted.
Researchers are more likely to come up with negative findings when they focus on clinical outcomes rather than clinical efficacy, according to Dr. Heber MacMahon, section chief of thoracic radiology at the University of Chicago.
"As cost is being scrutinized, we have to look at how we are using these modalities and how many cases where imaging affects the outcome," he said in a telephone interview. "It doesn't negate the value of digital radiography as a modality, but it has to be used appropriately, like everything else."
By James Brice
AuntMinnie.com contributing writer
April 30, 2010
Related Reading
On-demand chest x-rays supported for adults on ventilators, November 9, 2009
Copyright © 2010 AuntMinnie.com



















