
Traumatic vaginal deliveries, cesarean sections, and invasive placenta conditions can result in excessive bleeding and hysterectomy, and may be life-threatening for women, but innovative interventional radiology treatments are making childbirth safer.
Severe bleeding sometimes occurs either immediately after a C-section or up to several weeks after delivery. With embolization, interventional radiologists can block life-threatening bleeding immediately and effectively -- from the inside out.
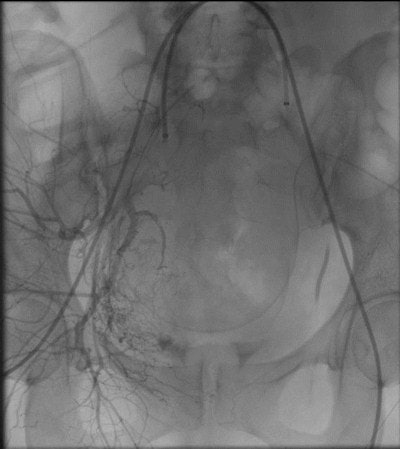
Embolization is a well-established interventional radiology technique that blocks blood vessels, controlling hemorrhage. Interventional radiologists guide a catheter up a uterine artery using x-ray imaging. Once at the site of bleeding, clotting agents, such as tiny sponge-like gel foam particles (the size of sand) or little metal coils, are released to block an injured vessel and stop the bleeding.

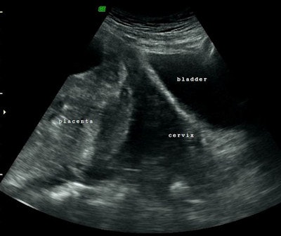
The women we treated tend to need fewer blood transfusions, had shorter hospital stays, and did not have recurrence of the bleeding. All in all, our experience shows that minimally invasive interventional radiology treatments can help control potentially life-threatening bleeding in women after C-sections with minimal complications. Similarly, interventional radiologists are making childbirth safer for women who suffer from a rare -- but increasingly frequent -- birth condition when a woman's placenta (attached both to the wall of the uterus and to the baby's umbilical cord) grows or "invades" into the uterine wall.
Minimally invasive interventional radiology treatments -- that safely and immediately control bleeding and that may eliminate the need for a hysterectomy -- are absolutely making childbirth safer for women.
Often these women are scared; this is a very serious and dangerous condition. Before interventional radiology treatment was available, the placenta couldn't be delivered and women would need a hysterectomy, or in some cases died. At our hospital, interventional radiologists control excessive bleeding in women with a combination of balloon catheters inserted into uterine arteries predelivery (that could be inflated to control bleeding, if necessary), and uterine artery embolization after delivery (if the placenta could not be delivered).
C-section is a common means of birthing today. Most C-sections are done when a vaginal delivery would put either the baby's or mother's health at risk. The rate of C-sections in the United Arab Emirates (UAE) has risen greatly over the past decade.

Although generally a very safe procedure, complications of C-sections happen rarely and may include injuries to the blood vessels that can cause prolonged and sometimes life-threatening bleeding in the mother. Typically, treatment options for this postpartum hemorrhage included conservative management (careful observation with supportive care until the bleeding resolves), or taking the mother to surgery to find the bleeding vessel and stop the bleeding. In some cases, surgical control of bleeding might even require a hysterectomy. More recently, interventional radiologists have added to the treatment options by being able to find and stop the bleeding with embolization.
Over the last two years, 12 women (ages 28-46) who urgently needed uterine arteries ballooning and embolization to prevent and control bleeding after a C-section were referred to the interventional radiology service at Al Ain Hospital. Seven of these women were diagnosed with invasive placenta that was confirmed by a predelivery MRI. Interventional radiologists worked in a multidisciplinary team with obstetricians. The interventional radiologists guided balloon catheters into a woman's left and right uterine artery (preoperative prophylactic insertion of bilateral internal iliac artery occlusion balloons) before delivery -- to be ready to inflate (just like in angioplasty), if needed at delivery to block excessive blood flow.
Often with massive bleeding, there is so much blood coming at the obstetrician that it is impossible for him or her to see from the outside to surgically intervene. Since interventional radiologists visualize what they are doing from the inside of the vessel using imaging, we can see the blood supply, stop the bleeding, and pinpoint the location for embolization treatment.
After delivery, if an invasive placenta could not be delivered, the obstetrician left the placenta in place; interventional radiologists used uterine artery embolization -- with absorbable gelatin sponge -- to close blood vessels to the placenta, in essence, cutting off its blood supply so that it would die and eventually be reabsorbed by the body.
Our retrospective evaluation for the intraoperative blood loss was very interesting, finding that obstetricians immediately see a dramatic decrease in bleeding once the balloons are inflated, allowing for easier surgical intervention. Bleeding complications after C-sections are uncommon but can happen either immediately after the C-section or up to several weeks after the delivery. A specific type of injury to the blood vessel known as a pseudoaneurysm, which is a contained blood vessel rupture, tends to show up later. Overall, regardless of any of the clinical circumstances, bleeding following C-section was stopped promptly and effectively with minimal complications by embolization procedures performed by interventional radiology.
Interventional radiology treatments avoid open surgery, general anesthesia, a long recovery time, and other serious risk factors associated with surgical control of the bleeding. In preventing the need for hysterectomy, embolization may preserve a woman's uterus, allowing her to have other children. The same technology has been used for uterine fibroids.
Dr. Jamal Alkoteesh and Dr. Nicholas Dodds are both interventional radiologists at Al Ain Hospital in the United Arab Emirates. Dr. Alkoteesh is also a member of the Editorial Advisory Board of AuntMinnie.com's Middle East section.
The comments and observations expressed herein do not necessarily reflect the opinions of AuntMinnieEurope.com, nor should they be construed as an endorsement or admonishment of any particular vendor, analyst, industry consultant, or consulting group.