
Preset reconstruction phases won't cut it for retrospectively gated CT calcium scoring -- not if you want accuracy and reproducibility. A preliminary but ongoing study from the Netherlands has found that large errors can be introduced by the use of predetermined reconstruction intervals, particularly when hearts beat fast.
In another new calcium study, researchers from Israel found that many patients with low coronary calcium scores were turning up with significant coronary obstructive disease at coronary CT angiography (CTA). The results have more to say about the diagnostic power of contrast-enhanced coronary CTA rather than the shortcomings of calcium scoring, the researchers believe.
A recent German study noted that coronary CTA was especially useful in identifying coronary artery disease (CAD) patients among those with intermediate calcium scores of 100-400.
One size won't fit all
"Retrospective ECG-gated calcium scoring has several advantages," noted Dr. Annemarieke Rutten at the 2006 RSNA meeting in Chicago. Rutten is a radiologist at the University Medical Center in Utrecht, Netherlands. "You can perform multiple image reconstructions, which then causes less problems with partial volume effects, and you can select the most motionless phase retrospectively."
The main drawback is the high radiation dose compared to prospectively gated calcium scoring. With retrospective ECG gating, dose modulation can of course be used to significantly reduce the radiation dose, but there's a wrinkle.
"ECG dose reduction requires selection of a suitable predetermined (reconstruction) phase before the acquisition," Rutten said. "So we wanted to determine if and when it is appropriate to perform retrospectively ECG-gated imaging for CT calcium scoring using predefined phases, instead of the individually selected 'most motionless' phase of the cardiac cycle."
To find out, Rutten and her colleagues Sebastien Krul, Dr. Matthijs Meijs, Dr. Alexander de Vos, Dr. Maarten-Jan Kramer, and Dr. Mathias Prokop performed CT calcium scoring in 51 subjects (38 men, mean age 62 years). They used a 64-slice scanner (Brilliance, Philips Medical Systems, Best, Netherlands), 3-mm slice thickness, and 1.5-mm reconstruction intervals.
Calcium scoring was performed in all 10 phases of the RR interval in each patient -- using both the Agatston and mass methods -- and each dataset was subjectively scored for cardiac motion artifacts on a three-point scale.
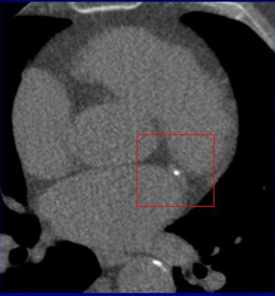
![]() |
| CT calcium scoring was performed on a 69-year-old man on daily beta-blocker medication. The patient's mean heart rate was 49 during the scan. The Agatston score throughout the 10 phases ranged from 710 to 986, with a score of 973 in the most-motionless (70% RR interval) phase. All images courtesy of Dr. Annemarieke Rutten. |
"We identified the most-motionless phase based on motion artifact scoring, which was then defined as reference phase, and the calcium score in this phase was called the reference calcium score," Rutten said. "Then we calculated the relative difference (between the calcium score) and this reference score for each phase of the RR interval, and summarized it also for motion artifacts to the reference phase for the motion and calcium scores."
Two patients' images were excluded, leaving 49 for analysis. Of these, 41 patients had heart rates of less than 70 bpm; eight patients had heart rates greater than 70 bpm. The mean heart rate was 59 (± 10) bpm. The Agatston score in these 49 subjects ranged from 0.5 to 3,757.
Agatston scores in the reference phase varied between 0.5 and 3,758 -- "most patients are between 11 and 1,000," Rutten said -- with mass scores showing very similar values between 0-166 mg.
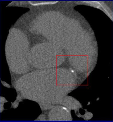
![]() |
| Motion artifacts were graded subjectively on a scale of 1-3, and the extent of motion artifacts was found to have a significant effect on calcium scores. The average absolute deviation from the reference score increased with increasing motion scores, from 13% to 46% for the Agatston score, and from 7% to 37% for the mass score. |
"The average absolute deviation from the reference score increased with increasing motion scores from 13% to 46% for the Agatston score, and from 7% to 37% for mass," Rutten explained. "When we look at the reference phase we see that at 70% and 80% phases, which are mid-diastolic are the reference phases for a large percentage of patients -- below 70 bpm it's 93% of patients."
On average the highest calcium scores were 13% higher (range 0-82%) than the reference score using the Agatston method, and 12% higher (0-114%) using mass. The lowest scores were on average 77% (0-200%) and 68% (1-200%) lower than the reference for Agatston and Mass scores, respectively.
In 58% of patients, the most-motionless phase was seen at 70% of the cardiac cycle, she said. Using a predetermined 70% reconstruction phase instead of the reference phase would have induced an average error of -4 (-59 to 15%) for Agatston scoring and -3% (-62 to 10%) for mass.
"We see that with increasing motion scores the relative differences decrease, and we also see that for mass scores these differences are slightly smaller than for the Agatston score," Rutten said. "So we conclude that for risk stratification or follow-up in individual patients, routine use of a predefined phase instead of the most motionless phase is not appropriate since large deviations can occur."
When performing retrospectively ECG-gated calcium scoring, the most motionless phase should be used for calcium scoring to prevent large errors in scores. No single predetermined phase can serve this purpose.
Still, in patients with heart rates less than 70 bpm, the 70% reference phase was the most motionless phase in 93% of the cases -- meaning that in these patients the use of dose modulation is feasible, Rutten said.
More patients have been added since the RSNA results were presented, including several with heart rates higher than 70 bpm. When these data are analyzed in a few weeks' time, the team will have a better idea about calcium scoring variability in these patients, Rutten said.
Calcium scoring misses obstructive CAD
The Israeli study, from the Lady Carmel Medical Center and the Technion-Israel Institute of Technology in Haifa, examined the extent of coronary artery disease on 64-slice MDCT angiography in patients who had zero or low coronary calcium scores when investigated for chest pain syndrome.
In 668 consecutive patients with chest pain syndromes (39% had acute presentations, the remaining 61% long-term), Dr. Ronen Rubinshtein and colleagues assessed the prevalence and severity of coronary stenoses, defined as at least one stenosed coronary artery with luminal narrowing of 50% or more in 231 patients (mean age 54 years ± 12, 45% women) with a 0 (n = 125) or low (n = 106) coronary calcium score (American Journal of Cardiology, February 15, 2007, Vol. 99:4, pp. 472-475).
For these patients as well, MDCT imaging was performed on a Philips Brilliance 64 scanner, following oral beta-blockage and sublingual nitroglycerine (provided systolic blood pressure was 110 mm Hg or higher). A dedicated cardiac-gating algorithm was used in patients with irregular heartbeats to compensate for variability in systole and diastole variations.
Coronary CTA was performed in the study group at 120 kVp, 600-1,000 mAs, and collimation of 0.625 mm, with reconstructions were performed at 75% of the RR interval.
CTA revealed obstructive coronary artery disease (CAD) in 27 of 231 of the patients with low calcium scores, including in nine of 125 patients with a calcium score of 0 (all with single-vessel disease), 18 of 106 with a calcium score of 100 or less, and 14 of 90 patients with acute presentations, and 13 of 141 (9%) of those with long-term chest pain.
Of the 27 patients with obstructive CAD at 64-slice coronary CTA, invasive coronary angiography confirmed the findings in 21 of 23 patients (positive predictive value 91%), and as a result 16 (76%) of them underwent myocardial revascularization, the researchers wrote. The left anterior descending artery was involved in almost 66% of these patients, and the left main artery in one "necessitating a myocardial revascularization procedure in 7% of patients overall," the researchers wrote.
Some 4% of patients with a zero calcium score and 10.4% of patients with low calcium scores (1-100 Agatston) underwent myocardial revascularization, "thus emphasizing the presence of true obstructive disease and an anatomy suitable for revascularization," principal investigator Rubinshtein noted in an e-mail to AuntMinnie.com.
A low or even a zero calcium score does not preclude the existence of clinically important obstructive CAD in patients evaluated for long- or short-term chest pain, Rubinshtein and her colleagues concluded. Contrast-enhanced MDCT angiography should be noninvasive CT test of choice when possible in these patients," they wrote. The lack of asymptomatic patients was a limitation of the study.
A low or zero calcium score in the presence of obstructive coronary disease is not an indictment of the calcium scoring, wrote principal investigator Rubinshtein.
"I would expect most CT (EBCT or MDCT) observers worldwide to easily identify any coronary calcium deposits in patients with apparently zero calcium score," she wrote. "CT observers in this institution read carefully both the nonenhanced and the enhanced scan, and actively identified calcium deposits."
"I believe our findings are not related to the performance of the calcium scans," Rubinshtein continued. "Among the 27 patients with obstructive disease per CTA; the positive predictive value (in a per-patient analysis) was high and confirmed the presence of significant stenosis by invasive angiography in 21/23 patients (91%)."
By Eric Barnes
AuntMinnie.com staff writer
March 5, 2007
Related Reading
Radiation dose slashed in 64-slice coronary CTA, February
Calcium scoring, CTA combine for better diagnosis of coronary artery disease, December 26, 2006
Inflammatory view: Imaging blind to plaque risk, December 7, 2006
Calcium CT scoring loss leader drives downstream benefit, August 3, 2006
Copyright © 2007 AuntMinnie.com






















