
An ambitious effort to compare the results of coronary CT angiography (CTA), catheter angiography, and myocardial perfusion SPECT imaging yielded good overall agreement in patients with known or suspected heart disease.
CT and angiography showed only moderate correlation with myocardial perfusion imaging (MPI) results, but the researchers, from the Medical University of South Carolina in Charleston, believe CT could potentially replace the other modalities in patients with known or suspected coronary artery disease.
"We pretty much know that detection and quantification of stenosis is possible with modern 64-slice or higher (CT), and we always should do daily readout to evaluate the myocardium for myocardial thinning, scarring, and for calcifications within the myocardium," said Dr. Christian Thilo at the 2007 European Congress of Radiology (ECR) in Vienna.
"With modern workstations, it is also possible to do functional analysis of the left ventricle (LV) to look for wall thickening, abnormal wall motion, and defects, and to evaluate the ejection fraction," he said. "My question was: Can CT replace (angiography and myocardial perfusion imaging) for prediction of myocardial perfusion defects, and is CT able to answer all our questions in terms of perfusion and significance of stenosis?"
Well, yes and no, the researchers found when they compared the results of contrast-enhanced 64-slice CTA both with and without functional analysis, as well as quantitative catheter angiography (QCA) for predicting ischemia on myocardial perfusion imaging (MPI).
The study examined 42 consecutive patients (32 men, 10 women; mean age 57 years), all with known or suspected coronary artery disease. First came a CT calcium scoring exam, in accordance with the facility's protocol. Then, after contrast injection (Isovue 370, Bracco, Milan), the patients underwent 64-slice coronary CTA (Sensation 64, Siemens Medical Solutions, Erlangen, Germany), with images reviewed on a workstation (TeraRecon, San Mateo, CA).
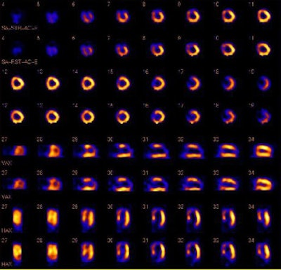
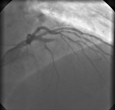
SPECT MPI was performed on every patient using Tc-99m-labeled sestamibi (10/38 mCi at rest/stress). Finally, the group performed quantitative catheter angiography on every coronary artery, measuring the mean diameter of stenosis according to the 15-segment American Heart Association model, and performing ventriculography to detect any wall motion abnormalities in each patient.
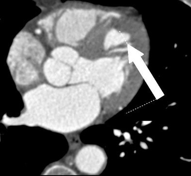
![]() |
| All images were acquired in a 62-year-old man presenting to the hospital for evaluation of chest pain. Above, contrast-enhanced, retrospectively ECG-gated 64-slice-CT angiogram shows (arrow) hypoattenuation of the anteroseptal wall. All images courtesy of Dr. Christian Thilo. |
"Our approach was to analyze the rest and stress MPI studies for the presence of perfusion defects and coronary territories, and we compared CTA with QCA for the prediction of ischemia on MPI," Thilo said.
A total of 176 coronary arteries were evaluated, of which 92% had good or diagnostic image quality, he said. Only 8% had poor image quality due to "motion artifacts, stent artifacts, heavy calcifications, insufficient spatial resolution, and ECG misregistration," Thilo said. The mean Agatston calcium score was 708.
![]() |
| All images were acquired in a 62-year-old man presenting to the hospital for evaluation of chest pain. Contrast-enhanced, retrospectively ECG-gated 64-slice-CT angiogram displays thrombotic occlusion of the mid left anterior descending (LAD) artery. |
CTA and QCA detected stenoses 50% or greater in 36 and 39 vessels (p = 0.94), respectively, and 70% or greater stenoses in 27 and 25 (p = 0.78) vessels, respectively.
The following shows the sensitivity, specificity, positive predictive value (PPV), and negative predictive value (NPV) for CTA-detected ischemia on MPI in any region for stenoses of both 50% or greater and 70% or greater in any vessel:
|
"You can see that CTA and QCA were comparable for detection of stenosis," Thilo said. "We also had a positive correlation between CT functional analysis and MPI for the detection of regional functional abnormalities, and the ejection fraction calculated from MPI at stress and CTA was also very comparable."
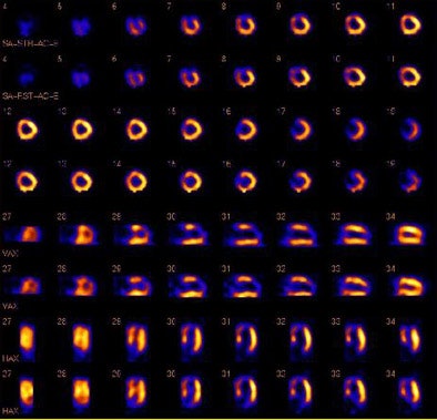
![]() |
| All images were acquired in a 62-year-old man presenting to the hospital for evaluation of chest pain. Sestamibi-SPECT examination at rest and stress shows anteroseptal scarring of the myocardium. |
For its part, catheterization yielded the following results:
|
The researchers also found good (r = 0.68) correlation between CT functional analysis and MPI for detecting regional functional abnormalities.
"The numbers are not too convincing overall, but we had a pretty good NPV for the detection of fixed perfusion defects for stenosis greater than 50% and greater than 70%, and when we only look at attenuation of the myocardium, it also had a very high NPV for fixed defects," Thilo said. "When we combined hypoattenaution of myocardium and the degree of stenosis, we had huge NPVs for fixed defects."
![]() |
| All images were acquired in a 62-year-old man presenting to the hospital for evaluation of chest pain. CT-based assessment of cardiac function with akinesis of the anteroseptal wall, indicated by dark cold spectrum colors in an automatically generated functional model of the left ventricle. |
Although CTA and QCA correlated very well with each other, both correlated only moderately well with ischemia on MPI, he said. And CT functional parameters correlated well with MPI.
"CTA has the potential to replace invasive catheter angiography in an MPI-based algorithm for patients with known or suspected coronary artery disease," Thilo concluded.
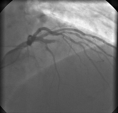
![]() |
| All images were acquired in a 62-year-old man presenting to the hospital for evaluation of chest pain. Left heart catheterization confirms occlusion of the mid-LAD. |
In an e-mail to AuntMinnie.com, Thilo wrote that although the current study has been completed, the group is working on a similar research effort using dual-source CT. A third study, fusing cardiac CT and MPI (consisting of 64-slice CT with a mobile SPECT camera attached to the scanner when needed) is also under way, he stated.
"Logistical issues with three modalities are challenging" but not insurmountable, Thilo added.
By Eric Barnes
AuntMinnie.com staff writer
May 25, 2007
Related Reading
Stress MPI with Tc-99m SPECT identifies high-risk obese patients, September 1, 2006
Cardiac SPECT/CT fusion captures SNM's Image of the Year, June 6, 2006
Rubidium PET/CT shows potential for coronary artery disease diagnosis, March 30, 2007
Instrumentation, attenuation correction steer nuclear cardiology's future, October 23, 2007
PET, SPECT measures of LVEF have superior predictive value, March 13, 2006
Copyright © 2007 AuntMinnie.com

























