
The use of iterative reconstruction (IR) is leading to ever-lower levels of CT radiation dose. But it's also creating a modern-day Tower of Babel when comparing scans reconstructed with different IR schemes. Fortunately, a talk at the recent International Society for Computed Tomography (ISCT) 2016 Symposium revealed how to tame the confusion.
Radiologists face big challenges in applying iterative reconstruction techniques from different vendors, said Dr. Dushyant Sahani from Massachusetts General Hospital (MGH), a large teaching hospital that is part of a network that employs multiple CT scanner models in far-flung locations. Fortunately, image quality differences between scans reconstructed on different equipment using different IR techniques can be minimized by matching objective noise using techniques the group has developed, he said.

"At Massachusetts General Hospital, we are spread out all over the state," Sahani said. "We have 21 scanners, more scanners are being added, and we have to run a busy subspecialty practice that is highly demanding with a lot of clinical and research protocols on the scanners."
The hospital delivers some 120,000 CT scans a year with the help of 125 CT technologists, with CT protocols categorized into a half-dozen divisions and more than 300 research protocols, he said.
Acquisition and consolidation plans are in place that will eventually streamline this array of technologies, which include premium CT scanners from three major vendors, he said. But for now the group must find ways to make the jumble of systems work together.
"The biggest question is, when you have so much diversity ... how do we provide images that are ... not too dissimilar?" he said. "They shouldn't look so different that comparison becomes difficult when you want to match up the images between filtered back projection as well as with various reconstruction techniques, because it creates challenges for the radiologists to interpret."
CT workload is also highly influenced by technologists as well as by standardization of protocols, leading departments to look for ways to ensure that images from the barrage of protocols and scanners can be made to look similar without degrading workflow.
"Especially when you're spread out all over, consistency is key," Sahani said.
Image quality improvement has several components, of which objective noise and edge preservation are especially important, he said. Noise can be modified with the variable strength settings in each iterative reconstruction technique, as follows:
- Adaptive statistical iterative reconstruction (ASIR, GE Healthcare) is set from 0 to 100.
- iDose4 (Philips Healthcare) is set from 1 to 7.
- Adaptive iterative dose reduction 3D (AIDR 3D, Toshiba Medical Systems) is set from 1 to 3.
- Sinogram-affirmed iterative reconstruction (SAFIRE, Siemens Healthcare) is set from 1 to 6.
Phantom tests
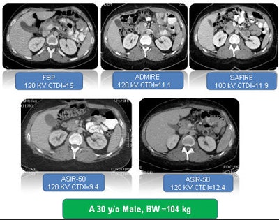
To test the variability of noise reduction in different protocols, the group scanned a phantom using mAs levels from 25 to 100, with a fixed kVp of 120. The images were reconstructed at various IR strengths and reconstruction techniques to understand the magnitude of noise reduction with each technique, Sahani said.
"What we noticed first is that there is a nonlinear drop in image noise as soon as you increase the amount of image reconstruction," he said. "Moreover, the maximum amount of noise improvement one can get is about 50%. The point is that if you drop your radiation dose by 80%, the maximum noise improvement that one can get from the statistical reconstruction technique is only 50%. So it might not work if one desires an excessive amount of dose reduction."
The experiment with phantoms also showed that achieving an approximate 30% noise reduction at 120 kVp in ASIR means setting the strength to 50, he said. For the same job, iDose is set at level 4 and SAFIRE at level 3.
Adding settings to workflow
To simplify workflow, the group has called on radiology personnel from each subspecialty to develop a grid representing a protocol based on contrast-to-noise ratio, Sahani explained. This stratifies the protocol into three patterns: low contrast, high contrast, and screening, as shown below.

For example, an abdominal CT scan yielding a 13% to 30% drop in image noise would point to an ASIR setting of 50% at 50 kVp and 50% to 60% at 120 kVp, Sahani said. Likewise, at 120 kVp, the iDose strength would increase from 4 to 5 and the SAFIRE strength would increase from 3 to 5 to get comparable image noise at low kVp.
"At 120 kVp, image noise is much higher" than at 50 kVp, he said. "One has to use a higher strength of iterative reconstruction to get a comparable noise improvement."

Helping out the reader
When introducing a new IR technique, it's best to present the new reconstruction together with the filtered back projection image for the first few weeks or months. Once your readers are comfortable, you can remove filtered back projection from the mix, Sahani said.
Another tip: Once you get into very low submillisievert doses, the statistical techniques fail, and one needs to move to more advanced iterative reconstruction techniques that are available from all of the vendors.
Sahani concluded by noting that objective noise in CT images can be matched in statistical iterative reconstruction. Attenuation values are preserved along the spectrum of strengths for iterative reconstruction techniques.
Radiologists using iterative reconstruction should be aware that texture differences can cause interpretation difficulties, he said.
"I would recommend not reducing the dose excessively because texture changes in ultralow-dose exams can cause problems for radiologists' acceptance of the images," he said. "I think the matching of images to some extent with the iterative reconstruction technique is important. I would recommend a higher IR strength with low kVp techniques."
Indication and kV-based selection of iterative reconstruction technique can deliver acceptable CT workflow, he said. Adjusting the noise level offers opportunities to optimize scan protocols and low-dose CT practice with different IR techniques.