
By recognizing signs of trauma on imaging exams, radiologists can help identify cases of domestic violence between intimate partners, according to a study published February 5 in Radiology. Researchers identified imaging and demographic factors associated with a greater likelihood of abuse.
Imaging has already demonstrated its value in detecting signs of nonaccidental trauma that could indicate abuse in both children and elders. But literature on the use of radiology for detecting intimate partner violence has been anecdotal or limited to case reports, wrote the team led by Dr. Elizabeth George of Brigham and Women's Hospital.
Therefore, George and colleagues sought to identify the types of imaging findings that are associated with intimate partner violence, as well as analyze the demographics of victims of abuse. They studied the cases of 185 patients who were referred to the intimate partner violence support program from the emergency department between January 2015 and October 2016.
Of the patients, 178 (96%) were female and had a mean age of 34.1 years, while seven (4%) were male and had a mean age of 43.6 years. These patients were randomly matched at a 1-3 ratio with 555 patients who also presented to the hospital over the same time period. The researchers compared demographic characteristics between the two groups, and they also categorized imaging findings in the group that experienced violence.
George and colleagues found that certain patient demographic characteristics and imaging findings indicated that an individual might be more likely to experience intimate partner violence.
Patient characteristics of intimate partner violence victims | |
Odds ratio for experiencing intimate partner violence | |
Demographics | |
Homeless | 13.4 |
History of psychiatric disorder | 5.4 |
African-American | 4.4 |
Hispanic | 3.2 |
Imaging | |
Ob/gyn findings | 4.4 |
Acute fracture | 2.4 |
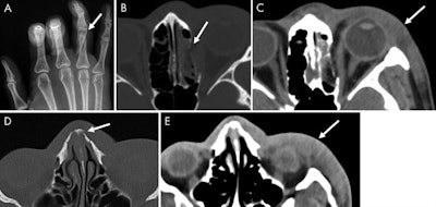
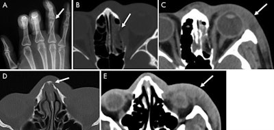
There were a number of imaging findings that could indicate intimate partner violence, according to the researchers. These included soft-tissue abnormalities, such as laceration and swelling; acute fractures; and ob/gyn findings such as intrauterine growth restriction, subchorionic hematoma, failed pregnancy, and retained products of conception. Patients who experienced violence were also more likely to have undergone more imaging studies, at a median of four exams per patient versus one exam per patient for the control group.

Nearly half of the victims of intimate partner violence presented to the emergency department with symptoms that were not a direct consequence of violence, such as nontraumatic physical or psychiatric symptoms. This could reflect the need for more universal assessment and inquiry to identify victims, the researchers noted.
It's important to raise awareness of intimate partner violence among radiologists, George and colleagues concluded. Radiologists may be the first to suspect the phenomenon when they notice serial imaging studies for the same patient, and they can work with referring physicians to identify victims.