
Researchers from a Utah health network have developed a preliminary guideline for the clinical management of cases of electronic cigarette, or vaping, product use-associated injury (EVALI). They discuss the details of their guide, which covers everything from diagnosis on chest imaging to follow-up care, in an article published online November 8 in Lancet.
Since the emergence of breaking reports on the perils of vaping earlier this year, the number of EVALI cases has already exceeded 2,000, with at least 39 deaths, and is likely to continue rising. "This is still an ongoing outbreak, and not something we've seen with vaping before," lead author Dr. Denitza Blagev from the University of Utah said in a statement.
Due to the novelty of this condition, Blagev and colleagues from the Intermountain Healthcare health network set up a telecritical care service to serve as the central repository for standardized data collection and public reporting on EVALI across the entire network. As part of the initiative, all the emergency departments, hospitals, and relevant physicians received notices including current information about the outbreak. In addition, the group established a task force, consisting of five pulmonary and critical care physicians, to oversee the cases.
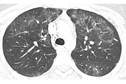
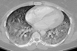
Using the telecritical care service, the researchers tracked 60 EVALI cases identified within the health network between June 27 and October 4, 2019. They defined EVALI as a clinical diagnosis based on the identification of pulmonary infiltrates on chest x-ray or CT within 90 days of electronic cigarette (e-cigarette) use and the absence of another known illness.
All the patients had vaped with nicotine, THC, or both. The most commonly used vaping devices were Juul for nicotine and Dank Vapes for THC. Frequency of vaping ranged from once a week to over 50 times per day.
Overall, the group found that EVALI was associated with severe lung injury on radiological imaging and also general constitutional and gastrointestinal symptoms in nearly all the cases. Highlights from their observations of the EVALI cases included the following:
- 18% of the patients had pneumothorax or pneumomediastinum.
- 23% of the patients had a history of asthma.
- 55% of the patients were admitted to an intensive care unit.
- 89% of the oil red O staining tests showed lipid-laden macrophages.
Of note, two patients originally presented with vague abdominal symptoms and were referred to the EVALI task force only after CT scans revealed bilateral ground-glass opacities in the lung bases.
Treating physicians offered a combination of antibiotics, oxygen, and steroids to most of the patients. All 26 of the patients who returned for a follow-up exam two or more weeks after discharge reported improvement since the time of initial hospital admission.
Chest radiographs revealed reductions in acute findings for most of the patients, confirming overall improvement, though 67% still showed residual abnormalities, such as bilateral interstitial and alveolar opacities or bronchial wall thickening.
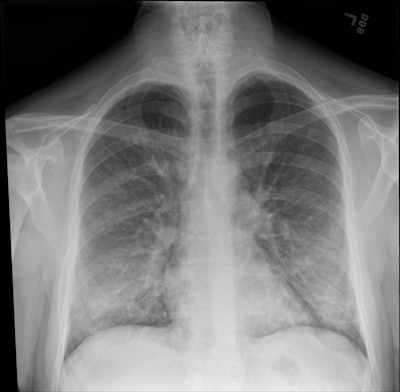
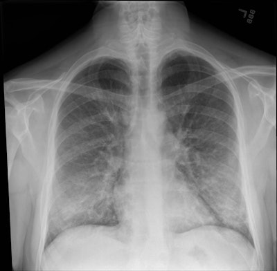
The chest x-ray of a patient with vaping-associated lung injury shows lung opacities, densities, and whitish cloud-like areas common in unusual pneumonias, pulmonary edema, and lung inflammation. Image courtesy of Intermountain Healthcare.These findings are helping physicians recognize what lung injuries associated with e-cigarettes or vaping look like -- and helping them maintain a high degree of suspicion when they diagnose lung injuries in patients who've been vaping, Blagev noted.
These collective experiences with EVALI encouraged the researchers to develop a guideline for the standardized assessment and treatment of the condition, which they have since distributed and implemented throughout their health network. They believe that employing the telecritical care service, in conjunction with using the guideline, has helped improve early recognition and treatment of EVALI.
"We now have a standardized approach to treat these patients, and we're starting to learn about what the recovery and complications are," Blagev said. "Through sharing the guideline, we're reaching clinicians and keeping e-cigarette or vaping-associated lung injury on everyone's minds, especially as we enter flu season and diagnosing vaping-associated lung injury becomes more challenging."
The apparent challenge of diagnosing EVALI is that no specific diagnostic method exists for its detection, with physicians relying heavily on clinical judgment and using a wide variety of tests to rule out other diagnoses, wrote Dr. Laura Alexander from the University of California, San Diego and Dr. Mario Perez from the University of Connecticut in a comment on the study.
"Lung injury associated with e-cigarettes or vaping remains a diagnosis of exclusion, which is likely to continue until the cause or causes are identified and the exact mechanisms of acute lung injury are defined," they concluded.


















