
As the vaping epidemic continues to unfold, a new case study centered on a previously healthy 17-year-old male has revealed yet another clinical indication of vaping-associated lung injury evident on CT scans. The case was published online November 21 in the Canadian Medical Association Journal.
The signs and symptoms associated with electronic cigarette (e-cigarette), or vaping, product use-associated lung injury (EVALI) have only grown since the time of the earliest EVALI reports in June of this year.
The current case study involved a 17-year-old male who had been vaping daily for five months prior to presenting to a local community hospital with cough, dyspnea, and fever. He was otherwise healthy and had no recent history of travel. He alternated between vaping different flavored cartridges and often added THC to the vaping fluid.
After initially being discharged with a diagnosis of pneumonia, he returned to the hospital emergency department five days later with worsening dyspnea, malaise, and nausea, for which he underwent various imaging exams.
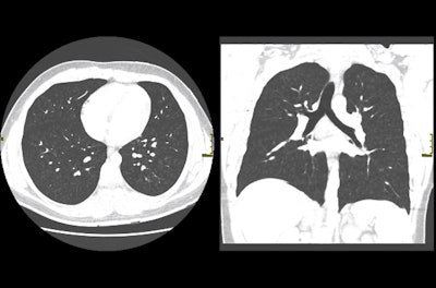
X-ray images showed diffuse micronodular opacities in both lungs and CT scans showed diffuse centrilobular nodules with a "tree-in-bud" pattern and subpleural spacing, signs consistent with bronchiolitis. His physicians later diagnosed him with acute bronchiolitis, which led to nearly fatal respiratory failure and chronic airflow obstruction.

Various treatments, including high doses of corticosteroids, invasive mechanical ventilation, and venovenous extracorporeal membrane oxygenation, helped the patient recover enough to be discharged from the hospital after 47 days.
"This novel disease pattern of airway injury associated with vaping leading to chronic obstruction appears to be distinct from the alveolar injury characterizing the EVALI cases recently reported in the U.S. and the seven confirmed or probable cases in Canada, highlighting the need for further research and regulation of e-cigarettes," senior author Dr. Karen Bosma of London Health Sciences Centre in Ontario said in a statement released by the journal.
Though the exact mechanism of injury and causative agent have yet to be confirmed, Bosma and colleagues suggested that the likely culprit was diacetyl, a flavoring compound in e-cigarettes that has been linked to bronchiolitis obliterans, more commonly referred to as "popcorn worker's lung."
Collectively, the early reports of EVALI illustrate that e-cigarettes appear to trigger a wide variety of different lung pathologies and illnesses and will continue to pose health risks, Dr. Matthew Stanbrook, PhD, of the University of Toronto wrote in an accompanying editorial.
"As physicians, researchers, and public health advocates, we must stop letting the e-cigarette industry -- which is substantially owned by the tobacco industry -- manipulate us and our governments by using the fear that without their products users will revert to tobacco, as leverage against appropriate regulatory action," he concluded.