
Researchers from New York City have found that patients who present with acute abdominal symptoms may have COVID-19 and, if so, are likely to require hospitalization, according to a study published July 4 in European Radiology.
The findings offer further proof that COVID-19 is not just a respiratory disease -- the illness can also present in an atypical manner, according to a research team led by Dr. Michael King of Icahn School of Medicine at Mount Sinai in New York City.
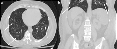
"As we have observed clinically within our major multihospital health system in New York City, many COVID-19 patients present with abdominal symptoms either in isolation or in combination with respiratory complaints," the group wrote. "These patients commonly undergo CT, with incidental findings of peripheral ground-glass opacities and/or consolidative opacities noted at the lung bases, which have been described in the setting of COVID-19."

The team sought to describe the clinical and lung CT findings in COVID-19 patients with abdominal symptoms. The study included 76 COVID-19-positive patients who underwent abdominal CT between March 1 and April 15; of these, 14 were excluded because they had positive abdominal CT findings that were not related to COVID-19.
More than 50% of the final patient cohort of 62 COVID-positive patients were younger than 65, and 81% had comorbidities. All showed at least one lung base finding on abdominal CT.
The researchers evaluated the demographic and clinical data of the patients, and a cardiothoracic radiologist performed a CT lung assessment. They then compared results of the discharged and hospitalized patients.
Of the 62 patients, 19% were discharged and 81% were hospitalized. The most common abdominal symptoms were pain and nausea/vomiting, while common lung base CT findings were ground-glass opacities (95.2%) in a multifocal distribution (also 95.2%), according to the group.
Prevalence of abdominal symptoms in patients positive for COVID-19 | |||
Characteristic | All patients (62) | Patients discharged from emergency department (12) | Patients hospitalized (50) |
Abdominal pain | 83.9% | 92% | 82% |
Nausea/vomiting | 46.8% | 24% | 52% |
The investigators also found that among patients with COVID-19 who presented with abdominal symptoms, elevated laboratory values included C-reactive protein (97.3%) and D-dimer levels (79.4%).
"COVID-19 infected patients can present with acute abdominal symptoms, especially in non-elderly patients with underlying health conditions, and may frequently require hospitalization," the authors noted.
How the SARS-CoV-2 virus causes abdominal symptoms remains unclear, according to King and colleagues. But in any case, radiologists "should be aware of atypical presentations of COVID-19."
"As our study suggests, the lower lobe predominance of these findings requires abdominal radiologists to keep COVID-19 diagnosis in mind even when patients present solely with abdominal complaints, and to suggest it as a differential diagnosis when appropriate," they concluded.