
Lung injuries caused by electronic cigarette or vaping product use-associated lung injury (EVALI) have a particular pattern on CT -- namely ground-glass opacity, according to a study published August 27 in Radiology: Cardiothoracic Imaging.
The study results could help clinicians make better diagnoses of the condition and patients avoid unnecessary biopsies, wrote a team led by Dr. Michael Gotway of the Mayo Clinic in Scottsdale, AZ.
"These radiological findings will be especially beneficial to physicians to help them determine potentially less invasive treatment options," Gotway said in a statement released by the RSNA. "We could potentially make that diagnosis noninvasively through cooperation with our clinical colleagues ... [and] by alerting them to a scan pattern that is suggestive of the possibility of EVALI, we may actually save patients from having to meet a surgeon."
Electronic cigarettes (e-cigarettes) and vaporizers heat a mix of nicotine, flavorings, and other chemicals that the user inhales, and the use of these devices has increased over the past 10 years, the RSNA said. In 2019, the U.S. Centers for Disease Control and Prevention (CDC) received the first reports of EVALI, which is characterized by "e-cigarette use or vaping within 90 days from symptom onset, associated with infiltrates at chest imaging, in the absence of an alternative explanation," the researchers wrote. Within six months of those first reports to the CDC, 3,000 more EVALI cases were reported and 68 deaths due to the condition verified, the society said.
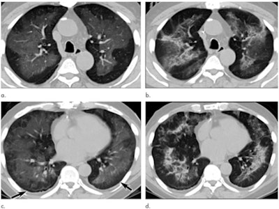
Gotway and colleagues investigated patterns on chest CT that might correspond to pathological findings for EVALI through a study that included 26 patients who met criteria for the condition and had undergone both CT as well as biopsy. The team classified CT findings as either ground-glass opacity or consolidation.

The most common CT finding among patients with EVALI also confirmed by pathology was multifocal or diffuse ground-glass opacity, identified in 96% of the study cohort -- a finding even more prevalent than that of subacute hypersensitivity pneumonitis, or lung tissue inflammation, according to the authors.
"We hope to make radiologists aware that if they see diffuse lung opacities in a younger patient without clearly defined causes, then they may want to seriously consider that the patient could have a vaping injury," Gotway said in the RSNA statement. "Patients may not readily admit that they're using the material, but if a radiologist recognizes these patterns and then tells the clinician that it could be vaping-induced injury, then maybe they could test for a nicotine metabolite or ask the patient about this exposure."