
The SARS-CoV-2 omicron variant shows fewer and less severe changes on chest CT than its delta variant predecessor, but it does have at least one distinct manifestation -- bronchial wall thickening, research published June 21 in Radiology has found.
The results could help clinicians distinguish between variants in patients who are ill with COVID-19, wrote a team led by Dr. Maria Tsakok of Oxford University Hospitals NHS Foundation Trust in the U.K.
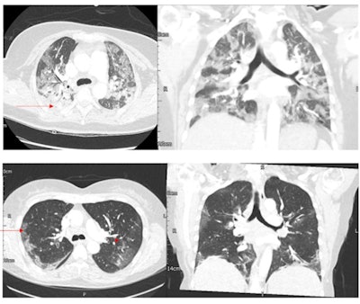
"Bronchial wall thickening was more common with omicron than with delta SARS-CoV-2," the researchers noted.
The omicron variant of SARS-CoV-2 was identified in November of last year in South Africa and has spread across the globe. It appears to cause less acute disease: People with omicron infections have half the odds of hospitalization and severe disease compared with those infected with delta or previous variants, the group found.

Since there's not much research that evaluates the lung imaging findings of omicron compared with other SARS-CoV-2 variants, Tsakok and colleagues conducted a study to investigate whether the two variants show particular radiological patterns on chest CT. The research included data from 106 patients who tested positive for SARS-CoV-2 between December 2021 and January 2022. Of these, 66 contracted the delta variant and 40 contracted the omicron variant.
More of the individuals who contracted the omicron variant had normal results on CT pulmonary angiograms compared with those who had the delta variant, and those ill with omicron had CT severity scores lower by 7.2 points than those ill with delta.
Chest CT features, delta and omicron SARS-CoV-2 variants | ||
Feature | Delta | Omicron |
Normal CT pulmonary angiogram | 15% | 37% |
Median chest CT severity score* | 11.8 | 3.5 |
Typical SARS-CoV-2 pneumonia appearance | 83% | 40% |
Indeterminate or atypical chest CT findings | 1.5% | 22% |
The takeaway? Omicron causes less acute illness and fewer hospitalizations, but it does spread rapidly, and bronchial thickening is more than doubly common in patients with omicron than those with delta (odds ratio, 2.4 and 1, respectively), according to the authors.
"The SARS-CoV-2 omicron variant demonstrates rapid spread but with lower rates of hospital admission and disease severity ... [and in] patients infected with omicron variant, more CT pulmonary angiograms were categorized as normal compared with those infected with the delta variant."