CT imaging is best for diagnosing suspected intraorbital wooden foreign bodies, although MR imaging does offer valuable supplementary information, according to a study published February 20 in Clinical Radiology.
The study is the "first systematic description of radiological features of intraorbital wooden fragments," wrote a team led by Chunlin Song, PhD, of the Affiliated Hospital of Qingdao University in Shandong, China.
"CT is the first choice for diagnosing [these objects, as its] window width of up to 1,000 HU optimizes visibility of intraorbital wooden fragments," the group noted.
Injuries to the eye can occur alone or in conjunction with head trauma, but the presence of a foreign body as a result of the injury can often be missed, Song and colleagues explained, writing that "given their porous and air-filled nature, wooden foreign bodies may potentially be overlooked or misdiagnosed as orbital emphysema caused by trauma."
Although wooden foreign objects account for about 17% of intraorbital foreign bodies, they can be particularly dangerous compared with metal or glass objects as they can cause infections such as cellulitis, abscess, and fistula, according to the authors.
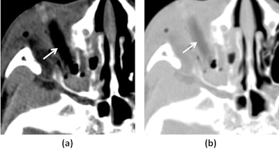
A 7-year-old boy, imaged 15 hours post-injury. Axial CT images with soft tissue windows (WW/WL=350/50) (a) reveal a rod-shaped foreign body (white arrow) situated along the course of the right inferior rectus muscle. The soft tissue window demonstrates that the foreign body exhibits attenuation similar to orbital emphysema. Axial CT images (WW/WL=1000/−200) at the same level (b) show that the attenuation of the foreign body (white arrow) is markedly different from that of the air in the sinuses. Image and caption courtesy of Dapeng Hao, MD, also of the Affiliated Hospital of Qingdao University.
"Foreign bodies may not always be suspected in cases of orbital penetrating injuries, and in many cases the trauma undergone by the patient is minor, without any trace of foreign body residue being revealed during the initial ophthalmic examination," they wrote.
To determine which imaging modality would be best for diagnosing suspected foreign bodies in the eye, the team conducted a study that included eight men and two women, seven of which presented in the emergency department within one to eight hours of injury. Of the study participants, all 10 underwent CT imaging; five also underwent MR imaging. The researchers assessed the location, geometry, margin, size, attenuation on CT, and signal intensity on MRI of the foreign objects.
They found the following:
- The wooden foreign bodies appeared as rods in eight cases and as wedges in two cases. All 10 showed clear margins.
- Mean size of the objects was 26.6 mm by 5.4 mm.
- Hypoattenuation between the attenuation of fat and air was discovered in eight patients with intraorbital wooden foreign bodies, with a mean value of -252.77 HU (Hounsfield units) on CT.
- On all five MRI exams, the wooden foreign bodies showed hypointense signal intensity on T1-weighted images and hypointense signal intensity on T2-weighted/fat-suppressed T2-weighted images.
It's true that MRI may offer more detailed information about foreign objects in the eye, but it is not recommended as first-line imaging for this indication due to safety concerns (the object may be metal), longer acquisition times, and less readily available access in emergency settings compared with CT.
"CT offers rapid imaging and provides critical information about the location, geometry, and attenuation of foreign bodies, making it the preferred modality for acute cases," the team concluded.
The complete study can be found here.



















