
An experimental prostate cancer PET radiotracer looks promising detecting suspected metastases in patients with advanced disease, according to a study published December 20 in EJNMMI Research.
Australian researchers studied the performance of an F-18-based prostate-specific membrane antigen (PSMA) tracer in biopsy-proven prostate cancer patients. They found it correlated significantly with clinical criteria for assessing their risk of metastases during primary staging.
"These findings are an important step to validate the role of F-18 PSMA-1007 PET/CT in primary prostate cancer staging," wrote first author Venkata Chikatamarla of the University of Queensland in Brisbane, Australia.
PSMA is a protein found on the surface of prostate cancer cells. PSMA molecules have been developed that bind to the protein, and when combined with isotopes such as gallium-68 (Ga-68) or F-18, the radiotracers allow researchers to locate these tumors on PET imaging.
Tests for circulating prostate-specific antigen (PSA) in blood and scores based on how aggressive the cancer cells appear in biopsies are used to determine the risk of metastases among patients who have undergone treatment. The International Society of Urological Pathology (ISUP) system, for instance, which is based on a modified Gleason score, grades cancer on a scale of 1 to 5, with 1 being least aggressive and grade 5 the most aggressive.
During primary staging, determining the risk patients face is key for doctors to develop treatment approaches.
In this study, the Australian group investigated whether F-18 PSMA-1007 PET/CT scans during primary staging could provide similar diagnostic information on patient risk as PSA levels and ISUP grades.
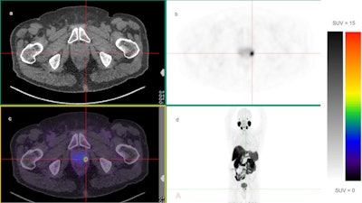
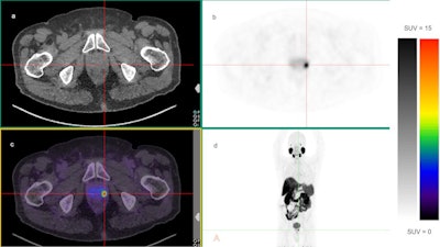
The researchers conducted a retrospective review of 194 consecutive patients who underwent F-18 PSMA-1007 PET/CT scans (Biograph Vision, Biograph mCT, or Biograph mCT Flow, Siemens Healthineers) for initial staging of biopsy-proven prostate cancer at the Royal Brisbane and Women's Hospital between May 2019 to May 2020. The median age was 70 years old, with 36.6% of patients considered intermediate risk and 60.8% of patients high risk.

Associations between imaging variables (primary tumor SUVmax) and clinical variables (PSA level and ISUP grades) were assessed using descriptive statistics, logistic regression model, and receiver operating characteristic (ROC) analysis.
The analysis showed the SUVmax (the maximum uptake of the tracer) of primary prostate tumors was higher in patients with ISUP grades 4 and 5 cancer, compared with ISUP grades 2 and 3 (median SUVmax 19.6 vs. 14.9). Similarly, primary tumor SUVmax was higher in the patient group with PSA > 20 ng/mL than the group with PSA levels between 10 ng/mL and 20 ng/mL.
The researchers found a statistically significant association between ISUP grade (p = 0.004) and PSA level (p < 0.001) with the SUVmax of the primary prostatic tumor observed on F-18 PSMA-1007 PET/CT scans. A higher primary tumor SUVmax was also detected in the high-risk group compared with the intermediate-risk group (median SUVmax 20.2 vs. 11.9; p < 0.001).
"This is the first study demonstrating a positive correlation between ISUP grade and PSA level with an increased likelihood of metastatic disease using F-18 PSMA-1007 PET/CT for primary staging of prostate cancer," the authors wrote.
PSMA can be coupled with F-18 or Ga-68 for diagnostic imaging, and PSMA-1007 is one of several PET tracers in clinical development for diagnosing prostate cancer.
The U.S. Food and Drug Administration approved Ga-PSMA-11 in December 2020 for imaging in prostate cancer patients with suspected metastases, as well as in patients with suspected recurrence based on elevated PSA levels.
However, only small amounts of Ga-68-labeled tracer can be produced at one time because it requires a specific generator, rather than onsite cyclotrons used for F-18 tracer production. Moreover, F-18 has a longer half-life than Ga-68 and lower positron energy, which results in better spatial resolution, according to the authors.
Previous preliminary studies have shown F-18 PSMA-1007 PET/CT has excellent disease detection efficiency comparable and potentially superior to Ga-68 PSMA-11 PET/CT, the researchers noted.
"Validation of these findings further supports the use of F-18 PSMA-1007 PET/CT for the primary staging of prostate carcinoma," they concluded.