
A group of orthopedists in Minneapolis is using 1.5-tesla MRI to determine the extent of high ankle injuries among professional football players and better predict how long the disability will keep players out of action.
The research, led by Robby Sikka, MD, from the TRIA Orthopaedic Center, uses a grading system to evaluate the severity of syndesmotic ankle sprains and the presence of bony contusions to calculate recovery and devise a treatment plan for injured athletes.
"Our findings were that as the grades and the severity of the injuries increased, the time of disability and length of missed playing time increased," Sikka said. He presented study results at the recent American Orthopaedic Society for Sports Medicine (AOSSM) annual meeting in Providence, RI.
Soft-tissue assessment
![]() |
| Minnesota Vikings running back Adrian Peterson. All images courtesy of Robby Sikka, MD. |
"MRI allows you to have a soft-tissue assessment," added co-author Joel Boyd, MD, who is also from TRIA and serves as the team physician for the Minnesota Vikings of the National Football League (NFL). "Plain radiographs give you good bone assessment, but because this is a soft-tissue injury, you have to assess what soft tissues are injured."
Researchers reviewed training room records of three NFL teams from 1993 to 2007. During those years, 43 players were diagnosed with syndesmotic ankle injuries clinically and received radiographic and MRI scans within 48 hours of injury. None of the 43 players previously had a syndesmotic ankle injury. The study also excluded players with evidence of a fracture.
A total of 36 players had MRI and clinical records available for the final analysis. In addition, all players had negative plain-film x-rays and all stress radiographs were negative. Among the 36 players, the average number of games missed was 3.3 (range, 0-20), while the average number of practices missed was 16.7 (range, 0-114).
Injury grades
The researchers also divided the severity of ankle injuries into four categories. Three players had grade I ankle injuries, which were isolated to the anterior tibiofibular ligament. Three players experienced grade II injuries, which included the anterior tibiofibular ligament and interosseous ligament.
A total of 27 players sustained grade III injuries to the anterior tibiofibular ligament, interosseous ligament, and posterior tibiofibular ligament. Three players had grade IV injuries, which included grade III injuries with an additional injury to the deltoid ligament.
In reviewing the severity of injuries and player downtime, the group found that four players had grade I injuries and missed an average of 7.3 practices and 1.5 games. Five players were diagnosed with grade II injuries and missed an average of 14.5 practices and 2.2 games. Twenty-four players experienced grade III injuries and missed an average of 18.2 practices and 3.1 games. Finally, for grade IV injuries, three players missed an average of 12.0 practices and 3.0 games.
"Unfortunately, grade IV injuries all occurred in the last month of the season, so they didn't have the statistical correlation, but those were all season-ending injuries in our case," Sikka added. "If you extrapolated that out, those injuries would have caused more missed playing time and more missed practices."
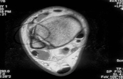
![]() |
| MR axial image of an NFL running back shows damage to the anterior tibiofibular ligament and grade III injury. The player missed the remainder of the season. |
Sikka and colleagues found that MRI could be used to predict the amount of missed playing time, and whether players have a short or prolonged recovery. In addition, the study's grading system could help predict the amount of time missed and that high ankle sprain injuries are likely to produce prolonged disability compared to lateral ankle sprains.
"It is an imperfect science, and the ability to return to play is based on a variety of different factors," Sikka added. "In a larger study, we may ascertain which positions are more likely to return quicker or are slower. It is something that could give trainers and physicians more information to guide players."
Clinical application
As for the clinical benefit, Boyd is applying the study data in his work with the Vikings. "If you know it's just an anterior tibiofibular injury, you have a pretty good idea that you can be relatively aggressive in the therapy and, typically, it will not take [a player] long to return. That information is valuable to the team, the coach, and the player to have an idea of what length of time they may be out. That is how it has helped me the most."
Sikka and colleagues plan to continue their research and apply the information from the study to high school and college athletes.
"NFL players are fortunate in that they have the best care in the world. We want to make sure that every player who plays football, basketball, or other sports has the same opportunity for the same kind of care by doing these epidemiologic and radiographic studies to understand the things that predict prolonged disability and things that cause a player to not be able to participate," Sikka said.
By Wayne Forrest
AuntMinnie.com staff writer
August 17, 2010
Related Reading
3T MRI aids success of surgical meniscus repairs, July 23, 2010
MRI tops x-ray for ped ankle fractures, July 9, 2010
Parallel sequence plus high-field MR improves ankle imaging, June 29, 2007
MRI keeps pace with rapidly evolving musculoskeletal systems of young athletes, May 20, 2007
MRI can't replace x-ray for pediatric growth plate injuries, December 1, 2005
Copyright © 2010 AuntMinnie.com




.fFmgij6Hin.png?auto=compress%2Cformat&fit=crop&h=100&q=70&w=100)




.fFmgij6Hin.png?auto=compress%2Cformat&fit=crop&h=167&q=70&w=250)











