
TORONTO - Diffusion-tensor MRI (DTI-MRI) may demonstrate the side effects of chemotherapy in kids treated for a type of glioma by showing lower levels of fractional anisotropy in white matter in the brain, according to a study presented on Monday at the International Society for Magnetic Resonance in Medicine (ISMRM) annual meeting.
By measuring fractional anisotropy in children with neurofibromatosis type 1 who received chemotherapy, researchers from University Hospitals Case Medical Center in Cleveland and the Children's Hospital of Philadelphia hope to gain a better understanding of potentially harmful side effects in order to balance the treatment's benefits versus the risks.

Neurofibromatosis type 1 (NF1) is a genetic condition that affects approximately one in 3,000 children, predisposing them to brain tumors and cognitive problems. One of the most common brain tumors from NF1 is an optic pathway glioma.
"It is a tumor that is very unusual in that it does not frequently cause mortality and there is an overall survival rate of approximately 95% after five years," lead author Dr. Peter de Blank, a pediatric neuro-oncologist and assistant professor of pediatrics at Case Medical Center, told AuntMinnie.com. "But it does cause permanent and uncorrectable vision loss in about 50% of kids."
The dilemma is that NF1 and optic pathway gliomas are treated extensively with chemotherapy, but no research has been done to determine the effect that even low-intensity chemotherapy may have on white-matter tracts associated with cognition, memory, and IQ.
"This is an interesting population that is predisposed to cognitive deficits and tumors that are limited to these optic pathways," de Blank added. "Because children with NF1 are predisposed to the tumors, we don't want to give them radiation that may give them more tumors or vascular problems."
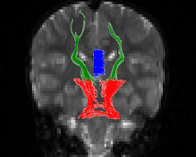
With DTI-MRI, the researchers can measure the movement of water molecules in tissue and white-matter brain regions to look for disruptions in flow.
"When fractional anisotropy goes down, that can correlate with white-matter tract damage," de Blank said. "That is a very interesting and important difference between diffusion-tensor imaging and other modalities. Not only is it quantifiable, it also is able to give the impression if there is damage to white-matter tracts."
DTI contributions
The study presented at ISMRM 2015 follows previous research by de Blank and colleagues in which DTI detected a decrease of fractional anisotropy in the optic fiber pathways (also known as optic radiations) that connect the thalamus to the visual cortex. Lower fractional anisotropy was a sign of abnormal visual acuity in the cohort of 50 children with NF1-associated optic pathway gliomas (Neuro-Oncology, August 2013, Vol. 15:8, pp. 1088-1095).
The findings from the 2013 study prompted the researchers to investigate what effect chemotherapy may have on the brain tissue microstructure of pediatric patients who received the treatment to stall tumor growth and preserve vision.
The current study retrospectively evaluated 24 children younger than 18 years old who had NF1 and associated low-grade optic pathway gliomas. Half of the subjects did not receive chemotherapy (mean age, 7.7 years ± 3.0); they were age-matched with 12 children (mean age, 7.5 years ± 3.3) who had low-intensity chemotherapy because of their tumor progression. All 24 subjects had no tumors outside of the optic pathway, and none had received radiation, surgical resection, or biopsies.
Diffusion-tensor MRI was performed on a 3-tesla scanner (Magnetom Trio, Skyra, or Verio, Siemens Healthcare) to assess white-matter tracts for the number of fiber trajectories, as well as tract volume and density, fractional anisotropy, and other measures.
Fractional anisotropy differences
The researchers found statistically significant differences in fractional anisotropy between the two groups, with the differences varying by three brain regions: the cerebellothalamic tracts, which are associated with working memory; the corpus callosum, which is associated with processing speed and IQ; and the thalamocortical tracts.
A fractional anisotropy value of 0 means that diffusion is unrestricted in all areas, while a value of 1 means that diffusion is happening only along one axis and is blocked in other directions.
DTI fractional anisotropy measurements, chemo vs. no chemo | ||
Brain region | Chemo | No chemo |
Cerebellothalamic tracts | 0.484 ± 0.041 | 0.528 ± 0.048 |
Corpus callosum | 0.654 ± 0.037 | 0.703 ± 0.034 |
Thalamocortical tracts | 0.459 ± 0.049 | 0.469 ± 0.042 |

The magnitude of change in fractional anisotropy is "in the realm of what we saw for other studies that have seen cognitive differences," de Blank said. The findings "tell us that even our lowest intensity of chemotherapy that we choose in order to spare cognition is affecting [white-matter] tracts that are associated with cognition. It allows us to stop and ask: Do we really need chemotherapy at this point? Do we have a good indication for it?"
If chemotherapy is the best option for pediatric patients with low-grade optic pathway glioma, the results "give us a measure to ask: How severely affected are these white-matter tracts associated with cognition?" he added. "Do we need to think about doing some early intervention for cognition and psychomotor skills now, rather than waiting until we can measure a deficit?"
To illustrate the potentially adverse effect of a decrease in fractional anisotropy, he cited a 2006 study that explored fractional anisotropy and IQ (Journal of Clinical Oncology, February 20, 2006, Vol. 24:6, pp. 884-890).
"They found that a 4% drop in fractional anisotropy was associated with an IQ drop of 15 points, which is significant," de Blank said.
DTI-MRI could give clinicians an idea of the impact of chemotherapy in a patient population who might not be able to communicate the effects themselves.
"When we are talking about kids who might not be able to tell you otherwise how they are functioning, we might be able to get a feel for what these white-matter tracts are doing and how they might affect the kids," he said. "If we can intervene early while they are still growing and developing, we might be able to temper some of that."
The researchers plan to continue their work with a prospective study of up to 150 pediatric patients to further validate their results.