Contrast-enhanced MR images suggest leakages in the blood-brain barrier may be an indication that a person is experiencing the early onset of Alzheimer's disease, according to a study published online May 31 in Radiology.
The blood-brain barrier is a collection of cells and subcellular structures in the cerebrovascular wall that separates the circulating blood from the brain. It is essential for healthy brain tissue by helping to regulate the delivery of nutrients, block neurotoxins, and remove surplus substances from the brain.
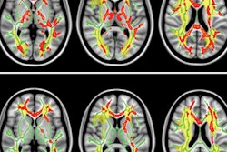
In this study, Dutch researchers compared 16 patients with early Alzheimer's disease with 17 healthy, age-matched controls. They used contrast-enhanced MRI to measure blood-brain barrier leakage rates and create a histogram to help determine the amount of the leaking brain tissue. With contrast-enhanced MRI, the researchers could detect early microvascular changes in those with Alzheimer's disease, even when no directly visible cerebrovascular abnormalities were seen.
The rate of blood-brain barrier leakage was significantly greater in Alzheimer's patients than healthy controls, lead author Harm van de Haar and colleagues reported. Alzheimer's patients also had a significantly higher percentage of leaking brain tissue in the gray matter, including the cortex.
The researchers also found a relationship between the extent of blood-brain barrier impairment and decline in cognitive performance, suggesting that a compromised blood-brain barrier is part of the early pathology of Alzheimer's.


.fFmgij6Hin.png?auto=compress%2Cformat&fit=crop&h=100&q=70&w=100)





.fFmgij6Hin.png?auto=compress%2Cformat&fit=crop&h=167&q=70&w=250)











