
Using diffusion-tensor MRI (DTI-MRI), researchers have located two areas of the brain with increased atrophy, infarctions, and lesions that collectively create a kind of logjam that contributes to cognitive impairment and/or dementia, according to a paper published online September 6 in Radiology.
The researchers believe the abnormalities in the medial temporal lobe and subcortical region provide a window into how cerebrovascular disease contributes to cognitive issues, and the findings highlight the need to treat progressive subcortical brain tissue damage. In addition, they hope mean diffusivity, as measured by DTI in these locations, could serve as a diagnostic marker to accurately diagnose vascular cognitive disorder.
"Our findings mean that a simple MRI test might improve the diagnostic workup of people with suspected vascular cognitive disorder," as well as help track the disorder's progression, said senior author Dr. Dorothee Auer, PhD, in an RSNA release.
Diagnostic challenge
Vascular cognitive impairment and vascular dementia are becoming increasingly common among the elderly. Patients with carotid artery disease are particularly susceptible to vascular cognitive disorder, which is caused by disease in the vessels supplying blood to the brain.
Diagnosing vascular cognitive disorder and differentiating it from other forms of dementia can be particularly challenging. Currently, clinical judgments are based largely on how a patient presents, his or her profile of impairment, and the presence of comorbidities. PET amyloid imaging and cerebrospinal fluid biomarkers are possible diagnostic options, but the authors noted that they are both "prohibitively expensive and moderately invasive."
Dewen Meng from the University of Nottingham."There is currently no blood test or clinical signs that can reliably distinguish vascular cognitive disorder from other dementias such as Alzheimer's disease," lead author Dewen Meng, a doctoral student at the University of Nottingham, wrote in an email to AuntMinnie.com. "So far, no useful imaging biomarkers have been identified for vascular cognitive disorder, and there is a need for imaging biomarkers that predict and track vascular cognitive disorder."
To solve this gap in knowledge, Meng and colleagues enrolled 108 patients with symptoms of carotid artery disease but no signs of dementia. All subjects underwent 3-tesla MRI scans (Achieva, Philips Healthcare) with protocols that included DTI, axial fluid-attenuated inversion recovery (FLAIR), and T1-weighted 3D gradient echo. FLAIR and T1-weighted images were used to determine the presence of medial temporal lobe atrophy and lesions, while DTI helped assess vascular tissue damage (Radiology, September 6, 2016).
The subjects also received a battery of cognitive assessment tests through the Addenbrooke's Cognitive Examination - Revised (ACE-R) to screen for dementia. Fifty-three subjects (49%) had a score of 82 or lower, which indicated cognitive impairment. The remaining 55 patients (51%) had scores above that mark and were deemed cognitively normal.
MRI discoveries
The DTI brain scans showed 23 patients (21%) with medial temporal lobe atrophy, compared with 85 subjects (79%) with no such abnormality. Of those 23 atrophy cases, 20 people (87%) were cognitively impaired based on the ACE-R results. Interestingly, 33 (39%) of the 85 subjects with no medial temporal lobe atrophy were also found to have cognitive issues.
The findings were further confirmed in patients with low risk of comorbid Alzheimer's disease, given the absence of medial temporal lobe atrophy. For subjects with the abnormal atrophy, there was greater cognitive impairment, increased vascular lesion load, and more severe tissue damage.


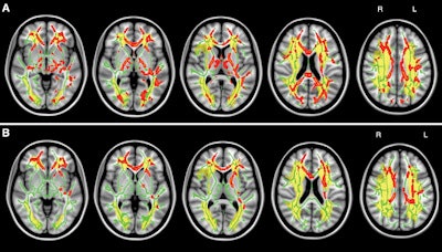
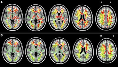
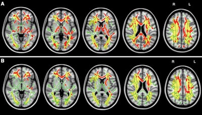
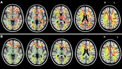
Maps of white-matter tract mean diffusivity and global cognition (A) show where increased mean diffusivity correlates with global cognitive decline (red). Also tracked is total ischemic lesion distribution (yellow) with T1-weighted images (B) to show mean diffusivity and fluency. Image courtesy of Radiology.
More specifically, cognitively impaired patients had larger normalized acute lesion volumes (5.9 ± 11.3), compared with cognitively intact individuals (2.7 ± 5.1), as well as greater chronic subcortical ischemic volumes (15.5 ± 15.5 versus 8.0 ± 10.5). The trend continued with more cortical infarctions in four cognitively impaired patients, compared with no such infarctions among the cognitively intact participants.
Most significantly, chronic subcortical ischemic lesions were found in the anterior thalamic and interhemispheric fiber tracts, as well as severe white-matter tract damage, both of which are associated with cognitive impairment.
"Our research demonstrated subcortical white-matter ischemic lesion locations and severity of microscopic white-matter tract damage contribute to cognitive impairment in symptomatic carotid artery disease," Meng said. This "suggests that subcortical disconnection within large-range cognitive neural networks is a key mechanism of vascular cognitive disorder."
Meng and colleagues plan to continue their research by assessing the diagnostic performance of MRI in patients presenting with mild cognitive impairment.
"Importantly, we plan to undertake longitudinal studies to assess the promising potential of this biomarker to track the progression of subcortical disconnection," she said.
The study was funded by the National Institute for Health Research (NIHR) in the U.K.



.fFmgij6Hin.png?auto=compress%2Cformat&fit=crop&h=100&q=70&w=100)




.fFmgij6Hin.png?auto=compress%2Cformat&fit=crop&h=167&q=70&w=250)











