
MRI scans four years apart have detected a loss of brain volume in regions associated with chronic traumatic encephalopathy (CTE). The results could be the first time the degenerative neurological condition has been identified in a living person, according to a paper published online August 23 in the American Journal of Geriatric Psychiatry.
The MR images showed atrophy and the loss of brain volume in three regions associated with CTE, which is caused by an accumulation of tau protein due to repeated head trauma. The findings are particularly noteworthy because a definitive diagnosis of CTE has only been possible through autopsy.
"With a single case report, we always have to take those findings as preliminary, but even based on that, I think we have identified with our data a potential signature on MRI of CTE," said lead author Dr. Cyrus Raji, PhD, a clinical fellow in neuroradiology at the University of California, San Francisco (UCSF). "We identified atrophy not just at one time point, but over four years. Since we have this longitudinal component in this case, that is very unique and gives our findings more optimism that it could be a signature CTE."
Repetitive head trauma
Because of its deteriorating effects on the brain, CTE has been linked to memory loss, confusion, progressive dementia, depression, suicidal behavior, personality changes, and tremors. There is increasing concern about the condition in athletes who participate in sports such as football and soccer that involve repetitive head impacts (Am J Geriatr Psychiatry, August 23, 2016).

According to the U.S. Centers for Disease Control and Prevention (CDC), there are an estimated 1.6 million to 3.8 million sports-related traumatic brain injuries annually, including cases that are never reported. While most of these injuries are minor, many are repeat injuries and subconcussive blows to the head.
The focus of the current paper was a 51-year-old male patient of co-author Dr. David Merrill, PhD, who heads the cognitive health clinic at the University of California, Los Angeles (UCLA). The subject was taking medication for bipolar disorder and attention deficit hyperactivity disorder (ADHD), but his symptoms did not quite match the classic clinical presentations of those diseases, Raji said.
Football career
Upon further review, Merrill found that the man had played football for three years in high school and participated in summer training camps in college, though he did not see any game action. During his high school career, the patient sustained some 900 hits to the head, had multiple confirmed concussions, and experienced one episode when he lost consciousness, Raji said.
As he aged, the patient had six years of cognitive decline and depressed mood, as well as increasing memory loss and difficulty in maintaining attention. Eventually, he underwent two brain MRI scans, one in 2012 and one in 2016.
The protocol included noncontrast T1-weighted 3D magnetization-prepared rapid gradient-echo sequences on a 3-tesla scanner. Volumetric analyses were conducted with Neuroreader software (Brainreader), which is designed to detect changes in a patient's brain volume.
Neuroreader is cleared by the U.S. Food and Drug Administration (FDA) to analyze MRI scans of patients' brains by benchmarking the results against an FDA database of healthy brain tissue. The software measures 45 structures within the brain and delivers an automated report in less than five minutes, indicating which structures' volumes are abnormal and to what extent.
Lost brain volume
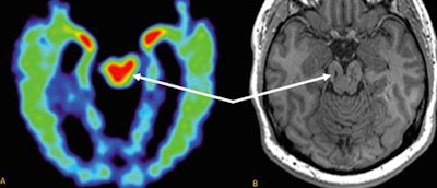
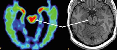
In comparing the two MRI scans, the researchers visually noticed areas of T1 hypointense and T2 hyperintense foci of encephalomalacia in the midbrain of the brainstem, which is consistent with atrophy. In addition, total gray-matter volume decreased by 14% over that time. The largest volume shrinkage was in the ventral diencephalon (-10.3%), followed by the frontal lobes (-3.6%) and the brainstem (-2.7%).
"The reason [volume loss] happens in the midbrain is because the force of football impacts are triangulated into that region," Raji explained. "The frontal lobes are affected because they are literally right behind the skull when the person is hitting their head. The ventral diencephalon sits on top of the brainstem, so it also makes sense that that region of the brain is affected as well."

Interestingly, the MRI scans revealed the volume of the hippocampus increased by 5.2% over four years. There also was no volume loss in the temporal or parietal lobes, and there were no other areas of abnormally low volume.
This finding is particularly noteworthy because there has been some conjecture that CTE is an early indication of Alzheimer's disease in football players, Raji said.
"The fact that hippocampal atrophy was not demonstrated in the patient's scan is reassuring that he does not suffer from Alzheimer dementia," the authors wrote. "The normal temporal lobes are also strongly suggestive that the patient does not suffer from frontotemporal dementia."
Lifestyle influences
As an aside, even though the patient's memory was deemed normal when his other neurological issues began to surface, he changed to a diet high in fatty omega-3 acids, increased his physical activity to several hours a week of mostly low-impact aerobics, and started to play chess online.
"He said that helped to jumpstart his brain," Raji added. "I think these simple lifestyle adjustments might have contributed to his hippocampus being sustained and improved. It shows that even though this gentleman had sustained a lot of head trauma, he still had the ability to improve his brain."
The authors emphasized that the findings in this one case study are preliminary, and additional studies with a control group are needed to determine if the results can be validated in a larger cohort. Still, the results are encouraging.
"The ability to compare the difference in the two MRI scans four years apart was key to seeing the progressive atrophy that worsened," Raji said. "If you are going to say that somebody might have neurodegenerative pathology like CTE, you have to show that it is progressive. Even though it is only one case and it is preliminary, I do think we have strong findings."
The researchers plan to advance this study, in part, with the permission of patients in the UCLA cognitive health clinic. If replicated, the findings may constitute a specific MR volumetric signature of CTE, they noted.
"When you look at how medicine advances, it often starts with just one case," Raji said. "Now that we know this case very well, we know what to look for in other people who may have head trauma-related pathology like CTE. It helps point us in the right direction for research and routine clinical applications."