
Researchers have developed a high-resolution, interactive anatomic brain-mapping atlas they say can overcome the limitations of functional MRI (fMRI) and expand the modality's value to conventional MR brain imaging and standard MRI applications.
The Gibby-Cvetko atlas is designed to segment the brain into finite anatomic regions with a resolution of 1 mm3 or less to correct for variations in the brain sizes of patients and better delineate the location of cortical structures and skull morphology.
"Having a high-resolution, interactive, quantitative brain atlas that we warp to fit the patient and run inside a PACS improves accuracy and speed of reading fMRI studies," said co-developer Dr. Wendell Gibby, an adjunct professor of radiology at the University of California, San Diego. "It is a big step toward routine utilization of fMRI in clinical practice."
Mapping history
Thousands of research studies have been performed using fMRI to explore the living brain and how different regions affect human behavior, diseases, addictions, and dysfunction. However, Gibby and colleagues acknowledge that fMRI has its limitations and has been difficult to adopt in routine clinical practice.
"In order to quantitate the activation of a patient, the brain must be segmented into anatomic areas so that the same area can be compared in control patients," he explained. "You must compare apples to apples. Each human brain is a little different. To do that, we need to coregister the 3D data of my patient's brain and correlate it to a known standard."
The concept of brain mapping dates back to 1967, when two French neurosurgeons, Drs. Jean Talairach and Gabor Szikla, created a coordinate system from a standardized grid of anatomy slides using internal landmarks of the brain.
"The concept behind their coordinate system was based on individual brains that were internally proportional so they could be mapped despite variations in size, and that the coordinate system could take into account those size differences," said atlas co-developer Dr. W. Andrew Gibby, chief resident in radiology at George Washington University in Washington, DC, who detailed the technology at RSNA 2016.
Talairach and colleagues had improved the atlas by 1988 using MR images of a 60-year-old woman. Back then, MRI slice thickness ranged from 2 mm to 5 mm, but the researchers still crafted a 3D atlas from the collected data.
"The limitations were that it was done on a single brain, there were variations of slice thickness, and it was relatively low resolution," W. Andrew Gibby told RSNA attendees.
MNI 152 template
In 1992, the Montreal Neurological Institute (MNI) advanced brain-mapping technology by performing MRI scans of 2-mm thickness on 240 healthy subjects. MNI researchers adapted the data to combine their results with Talairach's 3D atlas. The new configuration, known as the MNI 152 template, was then used to map 305 normal subjects with 1-mm MRI slices. A linear algorithm also helped reduce the adverse effects of manual errors and other variables to create sharper 3D images.
"The downside was some lack of detail in the cerebellum," W. Andrew Gibby said.
Still, the MNI 152 template played an instrumental role in the creation of the Gibby- Cvetko atlas, which also carries the name of co-developer Steve Cvetko, PhD, vice president at RIS/PACS firm Novarad. The researchers analyzed high-resolution images of 152 right-handed people with normal brains and modified the MNI 152 template to map standard cortical regions of the brain with 1-mm resolution.
"We tried to take the MNI 152 dataset and obviate the need to map back into the Talairach coordinates and create a new atlas based on that dataset," W. Andrew Gibby said. "To do this, we subdivided the idealized brain from the MNI 152 template and used manual demarcation of the cortical regions, which were subsequently segmented using prescribed algorithms to subtract white matter, eliminate overlapping, and ensure that all gray matter was covered."
With the addition of automated scalp stripping and deformable autoregistration, the researchers segment both control data and patient images to compare anatomic areas of the brain. Real-time interaction with the brain atlas also allows physicians to locate activity at any time.

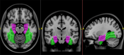
To further explain how the atlas works, Wendell Gibby gave the example of viewing the Broca area of the brain, which is linked to speech. The first task is to find the Broca area in 3D and segment the region to quantify its activity.
"To do that, we need to coregister the 3D data of my patient's brain and correlate it to a known standard," Wendell Gibby said. "The atlas allows real-time interaction. Just click anywhere on the brain, and it will highlight it and show you exactly where you are."
Given that ability, the researchers believe the Gibby-Cvetko atlas can be used for clinical MRI applications and as a teaching tool. It is also adaptable to a DICOM format with a standard PACS. The atlas is available at www.globalrad.org free of charge.
Disclosures
The research was funded in part by Novarad, which also provided technology.