Cardiac MRI can play a critical role in helping to determine which patients suspected of having stable coronary artery disease could have an unrecognized myocardial infarction and an increased risk of an adverse cardiac event, according to a study published online recently in PLOS One.
Researchers led by Dr. Anna Nordenskjöld of Örebro University Hospital in Sweden found that patients with an unrecognized myocardial infarction were three times more likely to experience an adverse cardiac event, including death, in the next five years, compared with individuals with no such anomaly.
"The association remained even after adjustment for traditional risk factors and the severity of coronary artery disease, thereby extending the findings of an association between unrecognized myocardial infarction and future cardiac events in previous short-term studies of patients with suspected or confirmed stable coronary artery disease," the group wrote (PLOS One, July 6, 2018).
Previous research had investigated the two-year prognosis of these patients using late gadolinium enhancement (LGE) cardiac MRI; however, the long-term risk had not been explored, according to the researchers. Therefore, they conducted a prospective, multicenter study of 235 patients who had undergone LGE cardiac MRI and coronary angiography between January 2008 and March 2011 for suspected stable coronary artery disease. The subjects had no indications of a previous heart attack.
The study participants were followed for a mean of 5.4 years. The end point was a combination of cardiovascular death, resuscitated cardiac arrest, myocardial infarction, hospitalization for angina pectoris, and heart failure.
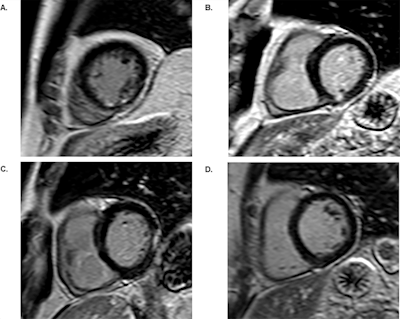
Two radiologists separately reviewed the cardiac MR images for areas of late gadolinium enhancement in more than one imaging plane to indicate an unrecognized myocardial infarction, while two readers unaware of the LGE cardiac MRI results interpreted all coronary angiographies.
The researchers found an unrecognized myocardial infarction in 58 patients (25%), with 39 located downstream from a significant coronary stenosis. Most importantly, 20 (34%) of the 58 patients with an unrecognized myocardial infarction experienced an adverse cardiac event, compared with 20 (11%) of the 177 subjects with no unrecognized myocardial infarction (p < 0.001).
Interestingly, there was no statistically significant difference in deaths among the two patient groups. There were five deaths (8%) among the patients with unrecognized myocardial infarction, compared with 10 deaths (6%) among patients with no unrecognized myocardial infarction (p = 0.42).
The average annual mortality rate of 1.3% was "considerably lower than the annual mortality rate of 11% and 22%, respectively, in two previous unrecognized myocardial infarction studies," the researchers wrote. "The discrepancy in mortality between these previous unrecognized myocardial infarction studies and ours is probably due to differences in selection, characteristics, and/or treatment of the patients."


.fFmgij6Hin.png?auto=compress%2Cformat&fit=crop&h=100&q=70&w=100)





.fFmgij6Hin.png?auto=compress%2Cformat&fit=crop&h=167&q=70&w=250)











