
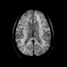
Researchers from the University of California, Irvine have observed cerebral microbleeds on MRI brain scans that indicate a blood vessel tear may not always be the cause of blood deposits, according to a study published online September 6 in Frontiers in Cellular Neuroscience.

"It has long been believed that a tear or rupture of a brain blood vessel is the cause of cerebral microbleeds," said study co-author Dr. Mark Fisher, a professor of neurology at the university. "While more confirmatory work needs to be done, our study points to an entirely new direction in efforts to eliminate brain bleeding and its consequences."
Cerebral microbleeds are associated with increasing age, cerebrovascular disease, hypertension, and chronic kidney disease. They also are a common cause of cognitive decline and contribute to stroke risk.
Previous research has shown that MRI can detect cerebral microbleeds in approximately 20% of people by age 60 and 40% of people by age 80.