
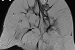
Breast MRI with a shorter screening protocol can still help detect cancer recurrence for women with a personal history of breast cancer, according to a study published on March 12 in PLOS One. Abbreviated MRI with an 11-minute protocol identified almost a dozen cancers missed by alternative screening modalities.
Breast cancer treatment can result in increased breast density, scarring, and fibrosis, which in turn can lead to architectural distortion on mammograms. The new research shows that, even with a shorter examination time, MRI may be able to find some malignancies more difficult to identify through mammography or ultrasound.
Abbreviated MRI can be considered a "useful postoperative surveillance tool" in women with a personal history of breast cancer, wrote the authors, led by Dr. Yeong Yi An, PhD, from the Catholic University of Korea's St. Vincent's Hospital in Suwon, South Korea.
Abbreviated MRI has a shorter image acquisition time than traditional MRI, with similar diagnostic accuracy. It's also cheaper than conventional MRI, making it more competitive with ultrasound and mammography for breast cancer screening.
The researchers wondered whether the benefits of abbreviated MRI might make it an ideal supplementary screening modality for women who had undergone surgery for breast cancer. To find out, they enrolled 763 women with a personal history of breast cancer who visited their academic hospital between October 2015 and October 2016.
The women all received mammography and ultrasound screening every six months for the first two years, followed by annual screenings. They also underwent abbreviated MRI around the same time as the other screening modalities. The MRI protocol took about 11 minutes, and a radiologist with at least nine years of breast MRI experience read the results.
The researchers found 21 recurrent tumors in the cohort. About half of these cases were only visible on MRI, the researchers noted.
The majority of the identified malignancies (15) were found in the first round of MRI screening, and the initial MRI round had a sensitivity, specificity, and accuracy of 100%, 96%, and 96%, respectively. The second round of screening identified the remaining six cancer cases.
The majority of cancers found by abbreviated MRI were invasive malignancies, representing 80% of cancers found in the first round and 83% of those in the second round. More than 90% of the cancers found through abbreviated MRI were tumor in situ or node-negative T1 lesions, the researchers noted.
Later statistical analysis found the specificity, negative predictive value, and accuracy were similar for abbreviated MRI and the combination of ultrasound and mammography. However, the area under the curve was significantly higher for MRI than the other two methods combined.
The findings aligned well the results of similar, previous studies, the authors noted. They also cautioned that selection bias, including the exclusion of patients with known metastatic disease and BRCA mutations, might have influenced the results.
"Our data suggest that [abbreviated MRI] can improve cancer detection with a short image acquisition time and high diagnostic performance in women with a [personal history] of breast cancer," the authors concluded. "Furthermore, [abbreviated MRI] can depict biologically relevant cancer at an early stage in women with a [personal history] of breast cancer."

.fFmgij6Hin.png?auto=compress%2Cformat&fit=crop&h=100&q=70&w=100)





.fFmgij6Hin.png?auto=compress%2Cformat&fit=crop&h=167&q=70&w=250)











