
An automated deep-learning method for MRI was highly accurate for assessing hydrocephalus in a study of children published December 1 in the Journal of Neurosurgery: Pediatrics.
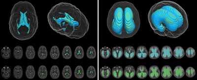
In the report, Stanford University neurosurgeon Dr. Jennifer Quon and colleagues explained how the deep-learning model was developed for the purpose of assessing changes in ventricular volume, as these signal how well treatment with a shunt works for reducing hydrocephalus. The researchers developed and validated the deep-learning model using T2-weighted MR images from 200 pediatric hydrocephalus cases and 200 controls. They also assessed the method on nine pediatric cases that were prospectively gathered.

In a comparison of deep-learning results with manual measures for ventricular volume assessments, segmentation accuracy was similar overall and better for patients with hydrocephalus, the team reported.
The researchers noted in a statement that currently it can be very time-consuming to get accurate measures of ventricular volume and can require research-level automated tools that are inconvenient for patient visits. In contrast, it took only 1.48 seconds per patient scan with the deep-learning method. Further research is needed, but the results so far suggest that the deep-learning technique has the potential to improve accuracy with much greater speed, which would be an improvement for workflow as well as patient care, Quon and colleagues concluded. In addition to hydrocephalus, the process could be useful for other types of cerebrospinal fluid pathologies, they suggested.