
MRI has shown that taking nonsteroidal anti-inflammatory drugs (NSAIDs) for osteoarthritis in the knee joint may actually make inflammation worse, according to research to be presented at the upcoming RSNA meeting in Chicago.
The findings highlight the need to reconsider how best to manage osteoarthritis symptoms, a team led by Dr. Johanna Luitjens of the University of California, San Francisco noted.
"In this study, no structural long-term benefit of NSAID use in patients with osteoarthritis could be found," the group wrote in the study abstract.
Typically, doctors recommend patients use NSAIDs to manage osteoarthritis pain and inflammation. But the long-term effects of NSAIDs on arthritis progression aren't clear, Luitjens and colleagues explained.
To close the knowledge gap, the investigators conducted a study that explored whether there is an association between NSAID use and synovitis in patients with osteoarthritis in the knee, and whether knee health could be assessed using MRI-based structural biomarkers.
The study included 277 individuals from the U.S. National Institutes of Health's (NIH) Osteoarthrtitis Initiative; participants had moderate to severe disease and had been using NSAIDs to manage pain and swelling for at least a year between baseline assessment and at four-year follow-up. These 277 patients were compared to 793 control participants who did not use NSAIDs. All underwent an MRI exam at baseline and four years later.
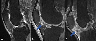
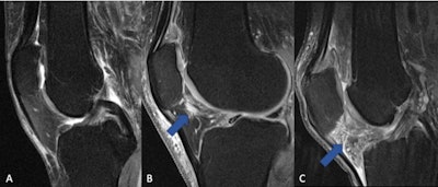
The fat pad adjacent to the kneecap (Hoffa's fat pad, infrapatellar fat pad) can change in signal on MRI when the knee is inflamed. (A) Normal knee without signs of inflammation. (B) Arrow pointing on a circumscribed area with higher signal (bright lines) in the area of the fat pad (normally dark), which is indicative of a beginning inflammatory reaction. (C) The whole fat pad has a higher signal (light grey color with white lines), which is a sign of progressive inflammation of the knee joint. Image and caption courtesy of the RSNA.The research found no long-term benefit of using NSAIDs to control knee osteoarthritis symptoms. In fact, at both baseline MRI and at four-year follow-up, joint inflammation and the quality of knee cartilage were worse in the group that took NSAIDs compared to those who did not.
Why? It could be because the NSAIDs actually work to reduce pain and inflammation -- prompting osteoarthritis sufferers toward overactivity -- although the investigators did adjust for physical activity, according to Luitjens.
"On the one hand, the anti-inflammatory effect that normally comes from NSAIDs may not effectively prevent synovitis, with progressive degenerative change resulting in worsening of synovitis over time," she said in the RSNA statement. "On the other hand, patients who have synovitis and are taking pain-relieving medications may be physically more active due to pain relief, which could potentially lead to worsening of synovitis, although we adjusted for physical activity in our model."



.fFmgij6Hin.png?auto=compress%2Cformat&fit=crop&h=100&q=70&w=100)





.fFmgij6Hin.png?auto=compress%2Cformat&fit=crop&h=167&q=70&w=250)











