Both CT and MRI enterography show promise for assessing the severity of Crohn's disease, researchers have reported.
In two studies published August 6 in Radiology, Florian Rieder, MD, of the Cleveland Clinic Foundation in Ohio and colleagues found that standardized CT enterography measurements offer a reliable picture of areas of narrowing in the ileum caused by Crohn's disease, and described the development of MR enterography definitions and scoring methods for assessing the condition.
"Fibrostenotic strictures increase the risk of disease complications and surgery in patients with Crohn's disease ... [and these] strictures likely precede the development of internal penetrating disease," the group explained.
Crohn's disease is a complex and recurring chronic illness, and symptomatic strictures are a common feature in fibrostenosing Crohn's disease, occurring in approximately 20% of patients and representing a disease type associated with a greater risk of complications and the need for surgical intervention. "As a result, prevention and treatment of fibrostenosing Crohn's disease represents an important clinical target," the authors wrote.
Rieder and colleagues evaluated the reliability of CT and MRI enterography features to describe Crohn's disease strictures and their correlation with stricture severity. The first study included 43 individuals with symptomatic terminal ileal Crohn's disease strictures who underwent CT enterography between January 2008 and August 2016. Four abdominal radiologists blinded to all patient information assessed imaging features of the furthest ileal stricture in two separate interpretation sessions separated by at least two weeks. The researchers considered features with interrater intraclass correlation coefficient (ICC) of 0.41 to be reliable.
The second study included 150 patients who underwent baseline and follow-up MRI enterography between February 2008 and November 2020 at two centers; four radiologists read the imaging results. Rieder and colleagues also assessed this exam's reliability using intraclass ICC.
The team found the following features on both CT and MRI enterography to be independently associated with stricture severity:
| Inter- and intrarater reliability of radiologic features on CT and MRI enterography for assessing Crohn's disease strictures (ICC value, reference 1) | ||
|---|---|---|
| Feature | MRI | CT |
| Interrater | ||
| Stricture length | 0.85 | 0.64 |
| Maximal associated small bowel dilation | 0.74 | 0.8 |
| Maximal stricture wall thickness | 0.58 | 0.5 |
| Intrarater | ||
| Stricture length | 0.92 | 0.93 |
| Maximal associated small bowel dilation | 0.79 | 0.92 |
| Maximal stricture wall thickness | 0.7 | 0.89 |
"Standardized CT enterography measurements and observations can reliably describe terminal ileal Crohn's disease strictures ... [and] MR enterography can be used to reliably evaluate features of Crohn's disease symptomatic terminal ileal strictures when standardized definitions and scoring conventions [are] implemented," the researchers concluded.
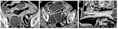
Contrast-enhanced CT enterography images of a Crohn's disease small bowel stricture in a 79-year-old male patient included in the study population. (A, B) Axial images show the presence of a long stricture (arrow) with a maximal stricture wall thickness of 6.8 mm (line in A) and marked maximal associated small bowel dilation (60.3 mm; line in B). (C) Curvilinear multiplanar reconstruction focused on the same small bowel stricture allows measurement of the total length of the stricture (10.2 cm). Images and caption courtesy of the RSNA.
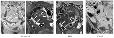
Coronal single-shot fast spin-echo and postgadolinium images demonstrate the proximal, mid, and distal aspects of a naive stricture at MR enterography performed in a 71-year-old female patient. There is a long inflammatory stricture with multifocal areas of luminal narrowing and intervening areas of active inflammation involving the terminal ileum. The four central readers measured this stricture as being 70.1 cm, 69.8 cm, 71.7 cm, and 71.6 cm in length … The arrows point to a single stricture that was assessed by all readers. Colored dots in the left-most and right-most images are reader markings along the lumen of the stricture. Postgadolinium images are the middle images. Images and caption courtesy of the RSNA.
In a commentary that accompanied the two studies, Samuel Galgano, MD, and colleague David Summerlin, MD, both of the University of Alabama at Birmingham, noted that the research illustrates "the likely integral role radiologists will have in using both CT and MR enterography in the clinical management algorithm for patients with fibrostenosing Crohn's disease."



















