
AuntMinnie.com presents the 12th in a series of columns on the practice of ultrasound from Dr. Jason Birnholz, one of the pioneers of this modality.
Fellow Ultrasounder,
In April, I was asked to set up new ultrasound units by the physician owner of two multispecialty clinics -- a surgicenter and an elder care facility -- here near Chicago. With visions of fully integrated ultrasound and primary care plums dancing in my head, I requested equipment from several vendors, all of whom provided their latest and best for my review.
Dr. Jason Birnholz.
Despite the expenses of doing an onsite trial, all of these companies were very gracious in their consideration of me. I'm going to tell you about my experiences with the equipment. The opinions and surmises are, of course, my own and not those of the commercially impartial AuntMinnie.com.
The units were the Acuson S3000 (Siemens Healthcare), the iU22 xMatrix (Philips Healthcare), the Aixplorer (SuperSonic Imagine), the Aplio 500 (Toshiba America Medical Systems), and the ZS3 (Zonare Medical Systems). All of these devices except the Zonare ZS3 use beamformer technology for line-by-line image formation, which has been the ultrasound standard for about as long as I can remember. The ZS3 forms images from zones, as described in a previous column on "4G" systems.
I asked each vendor to email me a manual prior to the visit, and I also requested a full range of transducers, with an emphasis on high-frequency ones. The first day was devoted to learning the systems by scanning phantoms and myself until I felt confident enough to begin examining patients, whom I would see myself without the applications person. This best preserves the confidentiality of the patient-physician interaction. Also, I needed to know how easily and consistently I could achieve some level of image quality under everyday scanning circumstances without help or interference.
Getting ready
It's not that hard to learn a system. All of the units have pretty much the same controls, although the labeling and placement of buttons, switches, or sliders are different. I also always had access to my own equipment if I needed to use it.
In addition, I had requested specifically that all applications persons unpack the transducers they thought were the best (or hottest) for their system for small-parts usage, endovaginal, and general abdominal scanning. I also asked each of them to tell me as much as possible about equipment features that were new or which they thought elevated their systems above the others. I didn't want to neglect to access that particular feature when it might help.
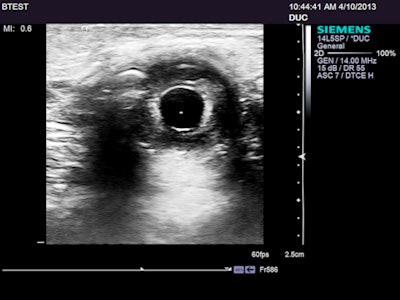
From the start of testing: my left iris and pupil; the central reflector is a Mittendorf spot. The image was converted to grayscale and the contrast was enhanced. This is a good target for assessing lateral resolution spread, dynamic range, and image noise, as well as how much of the display matrix is devoted to the ultrasound image. It is also excellent for assessing dynamics by following changes in pupil size with emotion and changes in ambient light.A disappointing start
There was a universal problem with the displays. The screen images were all tinted, typically bluish to plum, and screen contrast was low. Perceptually, this is not only amateur, but it is the information content equivalent to shooting yourself in some body part. The "factory" settings make it impossible to visualize a lot of the grayscale features that are the hallmark and value-extra part of modern ultrasound. Just visit the companies' websites or look at their brochures and you will see exactly what I mean.
The digital controls were usually difficult to access within service or system submenus and were often incomplete. For one unit I was told that monitor settings could not be adjusted at all except by a service tech.
The newer systems use LCD displays that have a color bias, so many ultrasound manufacturers apply a counterbias to try to approximate a black-to-white output. That evidently does not work well. The TV industry and computer display monitors handle this pretty well, after all, so it should be pretty simple. Unfortunately, most of the systems do not provide user accessible controls for adjusting display brightness, contrast, color, and gamma, even when searching through systems folders.
In the early days of ultrasound, one always spent a lot of time adjusting the monitor to have the best black-and-white display for the information being fed into it. This essential step has now been removed, but without any kind of industry standardization. We also had to adjust the additional monitors for photo-printing, depending on film type and characteristics.
The same image tinting is also captured when saving images for reviewing or exporting. Manufacturers don't seem to realize that showing a washed-out tinted image to anyone who has to interpret it provokes negative emotional and intellectual responses.
More disappointments
I thought the Acuson XP was revolutionary at its introduction in 1983, and I was very fond of its successor, the Sequoia 512, which had more data channels than prior equipment and phase correction for noise reduction. The S series from Siemens was, I had thought, the Siemens' update of the Sequoia platform, so I was eager to use the latest release, the S3000.
When it was up and running, I noticed right off what seemed to be a conventional video display. I asked the applications person about this, and he said that that HD video had been added to the S2000 for cardiology, but not to the S3000 for radiology. I found this kind of arbitrary decision shocking, especially because it indicates to me, at least, a lack of medical and a surfeit of business input into the ultrasound equipment manufacturing cycle.
The distinction between cardiac, abdominal, obstetric, pediatric, and vascular applications for ultrasound is an entirely arbitrary one. For all applications, image quality is fundamental.
One of the really smart things that SuperSonic Imagine did when it developed the Aixplorer was to build the system around an HD digital video display and use a video processor almost as good as what gamers use on their personal computers and that I have on my own computer at home. The consequence is that the Aixplorer achieves surprisingly good images with a small set of transducers, none of which has nearly as many elements as its competitors.
At this point in time, you might think of the display as the rate-limiting step in the series of reactions between tissue and ultrasound-acquired features striking your eyeballs. You can do great transducers and have great signal processing routines, but if they cannot be displayed properly, where are you?
One of the foundation pieces of the XP and the Sequoia was the ability to mark off a region of interest and then image that small zone with the entire array. This is an excellent way for beamformer systems to overcome the inherent limitations of line-by-line imaging. However, there is no equivalent tool for the S3000 or for any of the other beamformers that I tested. Beats me why any manufacturer would knowingly give up the single most useful feature of the best of the last generation of equipment, although I am sure they have some rationale. I've heard the same thing from a lot of other former Acuson users too.
Two cuts
I was also eager to try to iU22 xMatrix. I saw the iU22 when it was about to be released, and it seemed to be pretty good. The IT postimaging package was very complete, and I found the white papers on Philips' PureWave transducers compelling. There was the cachet of matrix probes, although I understand that the endovaginal matrix probe project had been abandoned or delayed.
This was the only device where I had to end the trial early, however, and revert to my office equipment. The images were just too noisy. I tried everything I could think of: every preset, every transducer, and a variety of instrument settings. The point is not to get rare exemplary images, but to be able to go from patient to patient and have confidence that you are seeing the most you can, despite the limitations that habitus, age, prior surgery, and disease already impose on us.
The other initial cut from the roster was the Aixplorer. I was really astounded to learn that this equipment had not been approved for obstetrical scanning by the U.S. Food and Drug Administration (FDA). Naively, I had assumed, like in the old days, that FDA approvals were blanketed for all applications, which I learned has not been true lately. It is also not approved for eye work, but that didn't concern me except for not using my left iris as a test object.
There were other significant issues with the Aixplorer. Images were noisy, the presets are a disaster (except for some breast settings and the 15-MHz probe), and parenchymal architectures have a peculiar, sinuous, Escher-like nonanatomic pattern. Fortunately, these problems can be ameliorated with the larger aperture transducers and adjustable instrument settings.
I really didn't find any compelling rationale for using the ultrafast Doppler, especially given the downtime for processing after the data are acquired. I am more interested in low-flow situations than in small differences of peak arterial flows in larger vessels.
To be fair, the company has told me that the flip side of ultrafast acquisition for high flows is the potential for greatly improved sensitivity for low flows in tiny vessels, which will be a big advance when it happens. I sort of like shear-wave elastography, but that is an adjunct, not a reason in and of itself to purchase a unit for general work.
The next semifinalist was ...
Zonare. Sorry, guys, I really like this company. It is the only one recently who looked at ultrasound imaging from the outside, saw a new way to approach imaging, got its patents, and created a device from the ground up. The first system was unique in having a mainframe and a detachable battery-powered, small tablet-like imaging module that has had a lot of commercial success in the point-of-care realm, especially emergency rooms and intensive care units.
As I explained in my 4G ultrasound article, this approach blasts out an ultrasound wavefront and then has a lot more free computational time for image reconstruction than a line-by-line beamformer system. The new unit performs better lower-noise reconstruction than the previous model. Frames rates are exceptionally fast, and this unit did better for fetal hearts than all of the others.
But the area where I wanted maximal performance was in subtle grayscale variations in parenchymal fields. Since testing time, Zonare has been acquired by the Chinese giant Mindray Medical International, and it's very likely it will eventually have the most advanced system in the world if Mindray provides the resources for Zonare to accelerate its software work.
Two finalists
Toshiba's Aplio 500 performed better than I thought it would from my recollections of the last RSNA meeting. This just reinforces how you need to be as open-minded about equipment as you are in accepting patients in all of their individuality. My first unit in 1968 was an Aloka model, and over the years I have been reminded how Japanese engineers have often come up with some unique ways of implementing technology.
Except for what I thought was poorly implemented surface rendering 3D on the Aplio 500, it and the Siemens S3000 both did very well for an extended range of imaging tasks.
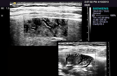
I was really intrigued by one new feature on the S3000 that was billed as a way of cleaning up images. Called Clarify, this seems to be a form of power Doppler that displays flow as black, subtracting intravascular movement from the image -- a kind of blacklight viewing. In any case, this has potential for exposing small peripheral vessels without the color blooming that often wipes out detail in energy and power Doppler usage, especially when filters are set for maximal sensitivity.
A grayscale composite of two images with the same probe but different magnifications, showing small peripheral vessels in the spleen and kidney.I thought both systems would do a good job, but, in truth, I wasn't blown away by either. I made multiple requests for a quote from Siemens but never received one. I was on the verge of investigating refurbished equipment options when I received a note from a new administrator for the outpatient clinics. They had actually gone ahead and purchased basic units from Ultrasonix Medical (now owned by Analogic) for two OB practice participants, having decided there was no need for further advice, other equipment, or apparently for any personnel experienced in clinical ultrasound to operate that equipment.
The problem with U.S. medicine
In my opinion, problems began to surface in U.S. medicine, perhaps 25 years ago, when hospital management transmuted hospitals as places that care for ailing patients to businesses that provide services for sick clients. A monetary metric provided the convenient way of judging success, possibly with the flawed assumption that with free choice, patients and/or clients would gravitate to the "best" provider of services.
This trend also saw the initiation of mass advertising of medical facilities. Some hospitals now function as agents connecting patients and medical care providers, typically supplying a place and equipment for the providers, but remaining aloof from both patients, doctors, and support staff.
In this kind of environment, is it any wonder that medical electronics firms could possibly behave any differently and survive? I suppose the companies think of hospitals and hospital networks as their main consumer base; the purchaser may well be an administrator who lacks the ability to discern what new features are really helpful and which may have unestablished but possible research potential. They tend to opt for limited amounts of low-performance equipment as an appeasement during these times of instability in healthcare systems amidst a large, increasingly needy population.
Very possibly the most pernicious agent in the acquisition of capital equipment are the few public buying groups that are contracted to hospitals and hospital networks. These agencies have managed to sever the wants and desires of equipment users from the need, timing, or ability to purchase what those users feel they should have to do their best.
When there is a covenant that purchasing is done exclusively through one of these agencies, the listing of one or perhaps a few ultrasound equipment vendors restrains trade by removing the competitive factor of free enterprise that engages the manufacturer to continually improve its offerings by clinical performance rather than via pricing for bulk sales.
There has been too much bandying about of terms like "the old values." We have to forget that; the world is a different place. How we do things has to change too. I look back sometimes with wistful fondness for the times of my medical schooling (Johns Hopkins) and radiology residency (Massachusetts General Hospital) when physicians gave their utmost, because it was just what you always did. There was comradeship and pride in how we did things, and our departments and institutions were beneficent supporters of us and of our patients, typically with an esteemed physician at the helm.
From my very limited perspective as someone devoted to using diagnostic ultrasound as a part of patient care, I think manufacturers need to communicate more with people who work in the clinical realm and see new patients daily, and less with buying agents or agencies. We all need to collaborate in working out metrics based on ultimate therapeutic outcomes, prevention of disease, and fostering health that may include but are not dominated by money, so that we can have some firm guidelines of how our needs intersect with the capabilities of all ultrasound equipment.
Dr. Jason Birnholz was one of the few advanced academic fellows of the James Picker Foundation, and he has been a professor of radiology and obstetrics. He is a fellow of the American College of Radiology and the Royal College of Radiology, and he was an Associate Fellow of the American College of Obstetricians and Gynecologists.
The comments and observations expressed herein do not necessarily reflect the opinions of AuntMinnie.com, nor should they be construed as an endorsement or admonishment of any particular vendor, analyst, industry consultant, or consulting group.


















