Researchers from the Universität Leipzig in Germany have found that a new kind of ultrasound probe improves the quality of ultrasound images of the liver and kidney in obese patients.
The new type of probe, called "matrix probes," have an "improved transmitting and receiving performance and therefore achieve greater penetration depth into the tissue," the university said in a statement. The probes are still under clinical investigation, it said.
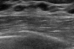
Scan of the liver of an obese patient. The image quality of the standard ultrasound probe (left) is significantly poorer than that of the high-performance probes (center and left). Image and caption courtesy of Universität Leipzig.
Lead author Thomas Karlas, MD, of the university and colleagues conducted a study that included 40 participants with varying degrees of obesity who underwent an ultrasound exam of the liver and right kidney with a standard probe and two high-performance probes.
“[Our] results showed that as the body mass index of the patients increased, the image quality of the ultrasound decreased," he said in a statement released by the university. "It also became clear that modern probes with matrix technology improve the quality of ultrasound imaging [among obese patients]."



















