
Is this the Best Radiology Image of 2014? If you think so, let us know by voting in the Best Radiology Image category of the Minnies, AuntMinnie.com's annual event recognizing excellence in radiology.

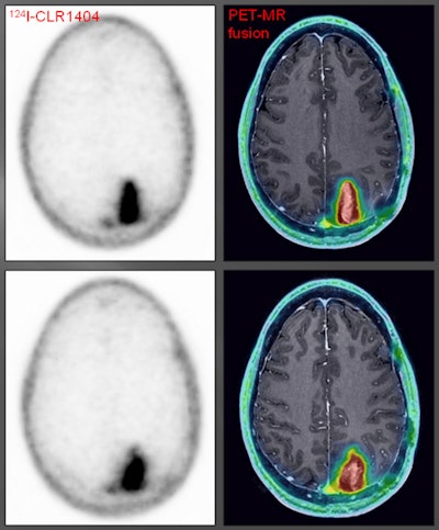
A patient with a grade III glioma was scanned using an iodine-124 (I-124) CLR1404 radiopharmaceutical. PET with CLR1404 detected the cancer, and fused PET/MRI delineated the tumor. Images courtesy of Dr. Lance Hall and the University of Wisconsin's UW Health. To learn more, go to bit.ly/1svWnOC.
The image is one of two finalists competing in the Best Radiology Image category in the Minnies. Help us pick a winner by "liking" your favorite on AuntMinnie.com's Facebook page. The image that receives the most "likes" will be declared the winner.
To view the other finalists in the Minnies, click here.
















