
A quantitative MRI software application can predict which preterm infants will go on to develop motor development disorders such as cerebral palsy, potentially enabling risk stratification and early interventions in these children, according to research published online September 28 in Scientific Reports.
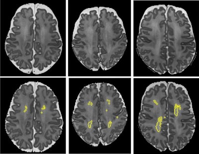
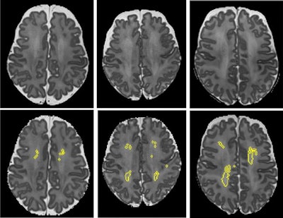
In a prospective study, a group led by Dr. Nehal Parikh of Cincinnati Children's Hospital Medical Center found that its internally developed software for detecting and quantifying diffuse white-matter abnormality (DWMA) on MRI scans of preterm infants was useful in predicting motor development at 3 years of age.
"If externally validated, our findings could be applied to improve risk stratification at hospital discharge for targeted, aggressive early intervention therapies," the authors wrote.
Parikh and colleagues previously investigated the association between DWMA volume and cognitive and language development at 2 years of age, and they have also reported associations between DWMA volume and bronchopulmonary dysplasia and retinopathy of prematurity.
In the current project, the group prospectively enrolled 110 very preterm infants -- born at 31 weeks of completed gestation or earlier -- between November 2014 and March 2016 at one of four level III neonatal intensive care units in Columbus, OH: Nationwide Children's Hospital, Ohio State University Wexner Medical Center, Riverside Methodist Hospital, and Mount Carmel St. Ann's Hospital.
After structural brain MRI scans were performed at a term-equivalent age (mean, 40.3 weeks), the DWMA detection and segmentation algorithm was applied to the T2-weighted images. These results were also compared with visual classification of DWMA by neuroradiologists. Next, the researchers performed multivariable logistic regression analysis to assess the value of DWMA volume to predict motor development at 3 years of age.
Although visual classification of DWMA was not predictive of motor development, the software's calculation of DWMA volume was confirmed as an independent prognostic biomarker of Bayley motor scores (β = -12.59; 95% confidence interval, -18.7 to -6.48).

"In this multicenter prospective cohort study, we were able to demonstrate for the first time that objectively quantified DWMA is an independent predictor of motor development in very preterm infants," the authors wrote. "We also validated prior research showing that visually classified DWMA is not predictive of neurodevelopmental outcomes and is therefore suboptimal for use in clinical practice. Additional studies are needed to externally validate the use of DWMA volume as an early prognostic biomarker for cerebral palsy and minor motor impairments and to enable clinical translation of our DWMA algorithm."
Earlier diagnosis of motor abnormalities would facilitate targeted delivery of early interventions and novel habilitative therapies during this optimal period of brain development, according to the researchers.
To further validate the findings, Parikh and colleagues are now close to completing a large cohort study: the Cincinnati Infant Neurodevelopment Early Prediction Study (CINEPS), they said.
"We plan to work with MRI manufacturers to incorporate our software onto their systems in order to provide objective diagnosis of DWMA at the point of care," Parikh said in a statement from Cincinnati Children's. "This advance will permit accurate parental counseling and early risk stratification to enable targeted early intervention therapies."