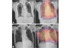
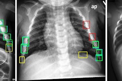
Dubai-based Zscale Labs is launching Neuromorphic AI, an AI software application for multilabel classification of chest radiographs.
Neuromorphic AI leverages the firm's hyperdimensional computing and deep-learning technologies to assist radiologists and healthcare providers in diagnosing multiple chest conditions from x-ray images. Key features include an advanced spatial transformer network designed to improve the precision of image analysis and hyperdimensional computing encoding for pattern recognition and multi-label classification, according to the company.


















