
Personalized treatment plans based on computer models can help improve life expectancy for early-stage kidney cancer patients who have risk factors for worsening kidney disease, according to research published online January 15 in Radiology.
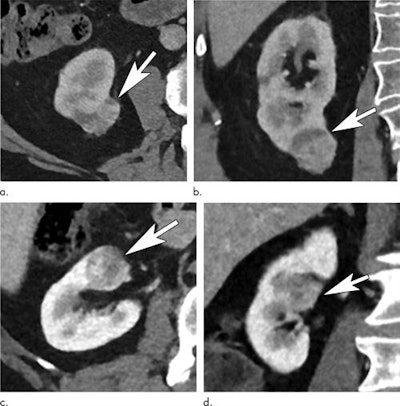
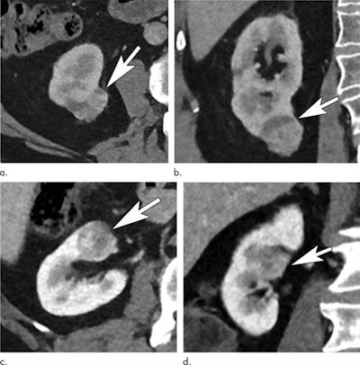
Researchers led by Dr. Stella Kang of NYU Langone Health in New York City performed 1 million computer simulations to evaluate the effect of different treatment approaches in patients with small renal tumors. Their model, called Renal Anatomy and Function for Indeterminate Renal Mass (ReAFFIRM), considers variables such as the severity of the kidney disease and competing risks of mortality. Using ReAFFIRM, the researchers found that partial nephrectomy yielded the longest life expectancy in patients of all ages with normal renal function.

In patients with chronic kidney disease, however, personalized strategies such as active surveillance extended life expectancy over routine nephrectomy, according to the researchers. For example, personalized treatment decisions extended life expectancy by more than two years compared with a standard surgical approach in several simulated subgroups of patients with moderate chronic kidney disease.
In other findings, the ReAFFIRM model revealed that the use of MRI to predict papillary renal cell carcinoma could potentially improve long-term health outcomes by steering some patients toward active surveillance, according to the researchers. The results also suggest that the effectiveness of biopsies could be improved by incorporating tumor subtype information into the decision-making process.
Information from the model could aid clinical decisions by providing guidance on the benefits and risks of active surveillance and helping to determine the right treatments for the right patients, according to the researchers.
"There is probably a larger proportion of patients with small renal tumors who merit a fuller discussion of options than is currently recognized," Kang said in a statement from the RSNA. "While the model does not prescribe one specific treatment, it does provide a set of estimates so that patients and providers can get more information on the viable options."
The researchers also believe that their study demonstrates how computer simulation models like ReAFFIRM could supplement knowledge gained from clinical trials.
"Computer disease models can be useful for studying diseases and potential interventions and guiding prospective studies, helping us understand where the research is needed the most," she said.