
In research that may support the case for more subspecialization in radiology, a Wisconsin team found that the rate of disagreement between interpretations of pediatric imaging studies by generalist community radiologists and specialty radiologists at tertiary care pediatric hospitals can be as high as 42%.
The research shows not only how this difference can affect patient care, but also how healthcare resources are used, according to a group from Gunderson Lutheran Medical Center in La Crosse, WI. In the study published in the October American Journal of Roentgenology, the authors concluded that patient care is improved by these subspecialty second reads; accuracy increased by 90% when second interpretations were compared to originals.
This fact should be recognized by insurers, lead author Dr. Christopher Eakins and colleagues wrote.
"Interpretations by subspecialty radiologists at a point-of-care facility provide important clinical information about the pediatric patient and should be recognized by payors as integral to optimal care," they wrote.
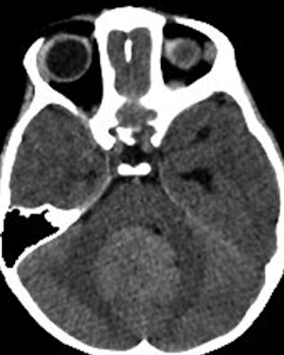
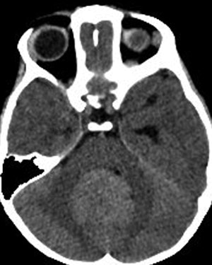
CT scan through posterior fossa and temporal lobes of 3-year-old boy. Radiologist at outside referring institution initially diagnosed hydrocephalus, whereas specialty radiologist at tertiary care hospital recognized posterior fossa tumor as cause of hydrocephalus. All images courtesy of the American Roentgen Ray Society.
Eakins' team examined diagnostic imaging reports of all pediatric patients referred to a tertiary care children's hospital between January 2009 and May 2010. Original and secondary imaging interpretations were compared in 773 exams. A fellowship-trained pediatric radiologist and a neuroradiologist categorized each case using the content of the two radiology reports as agreement versus minor or major disagreement, and Eakins' group assessed the results for statistical significance (AJR, October 2012, Vol. 199:4, pp. 916-920).
The study found disagreements in 323 (42%) of the 773 reports. Of the 323 disagreements, 22% were classified as major disagreements and 20% were classified as minor. Neurologic studies were the exams most frequently requested for reinterpretation (427, or 55%), and these requests occurred most commonly in trauma settings (286, or 67%). Among the 427 neuroimaging studies included in the study, major and minor disagreements occurred in 54 (12.6%) and 91 (21.3%) cases, respectively, according to the researchers.
Major disagreements were most frequently experienced over the presence of fracture and hemorrhage. Among 305 body imaging cases, major and minor disagreements occurred in 99 (32.6%) and 57 (18.7%) cases, respectively. The most common setting for nontraumatic body imaging was concern for appendicitis (55%); this indication for imaging was responsible for 40% of major disagreements in nontraumatic abdominal imaging.
Eakins and colleagues found that reinterpretation was requested for radiographic studies only 5% of the time, with major and minor disagreement rates of 36.6% and 17.1%, respectively. In 90% of the cases, the second interpretation of the imaging exam was more accurate than the original.
![]() |
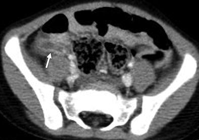
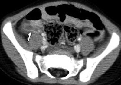
| CT scan through pelvis of 4-year-old girl. Radiologist at outside referring institution initially interpreted study as "normal," whereas specialty radiologist at tertiary care hospital recognized distended appendix (arrow) with increased enhancement, periappendiceal inflammation, and small fecalith. |
Point-of-care second interpretations help patients and are necessary for guiding appropriate treatment, as well as for avoiding unnecessary studies, which expose pediatric patients to additional radiation exposure, according to the authors.
"Our results show that there is a statistically significant correlation between the second opinion interpretations and the final diagnoses, thus assuming a crucial role in patient management decisions," they concluded.



















