
Adult fingers from neonatal intensive care unit (NICU) staff were visualized on nearly half of x-ray images acquired at a Canadian hospital, and, in some cases, nurses might not be aware of their inadvertent radiation exposure, researchers have found.
In a study published online August 9 in the Canadian Association of Radiologists Journal, a team of researchers from Royal University Hospital (RUH) in Saskatoon, Saskatchewan, found that 42% of NICU radiographs contained extraneous adult fingers in at least one of three study areas. Significantly, 10% of the NICU images contained adult fingers that were subsequently cropped out of the images before they were sent to the PACS, said lead author Dr. Jordan Russell, now at Alberta Health Services.
"In this case, not only is the NICU nurse inappropriately exposed to radiation, but this source of occupational radiation exposure is then concealed by cropping during image processing," Russell told AuntMinnie.com. "Had we not performed this investigation, 10% of occupational radiation exposure in the NICU would have gone unnoticed."
Following up on previous research that found a high percentage of adult fingers being seen on pediatric intensive care unit radiographs, and another study that found success in decreasing inappropriate occupational exposure to diagnostic radiation, the University of Saskatchewan study group sought to assess the prevalence of occupational exposure in the NICU.
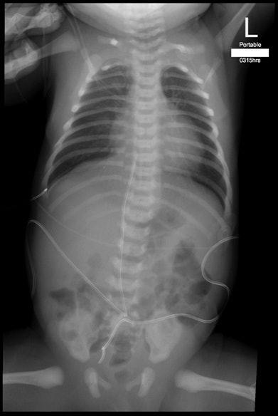
![]() |
| Fingers of NICU staff are visible at upper left in this pediatric x-ray image. Image courtesy of Dr. Jordan Russell and study co-authors. |
The researchers evaluated 230 consecutive original anteroposterior portable NICU raw chest radiographs that had been acquired between December 2010 and March 2011. The raw radiographs, which included the cropped area of the image, were also compared with the cropped images in the PACS.
At RUH, a nurse immobilizes the neonate using one hand to stabilize the pelvis and the other hand to hold the patient's arms above the head during image acquisition. Most NICU incubators at the institution have cassette trays. In those that don't, the neonates are placed directly on a covered cassette.
Of the 230 radiographs audited in the study, 42% showed extraneous adult fingers in at least one of three study areas:
- Fingers in the direct beam that remained visible on PACS: 13%
- Fingers in the direct beam that were cropped out of the images before being sent to PACS for review: 10%
- Fingers in the coned area: 19%
"The fingers observed were likely predominantly those of NICU staff members, although those of RUH medical radiation technologists, family members, and other healthcare workers may have been included as well," the authors wrote.
Focus on education
In an effort to reduce exposure, the institution is focusing mainly on educational interventions, Russell said. Those activities are the subject of ongoing research under way at the University of Saskatchewan.
"In addition to this, however, the inappropriate exposures may be reduced by increasing communications between the medical radiation technologists and NICU nurses at the time of image acquisition, as well as by more precise cropping of images at the time of acquisition," she said.
Optimizing the collimation of the original acquired image may not only reduce the incidence of fingers observed in the direct beam, it can also reduce unnecessary radiation exposure for the neonate, according to the researchers.



















