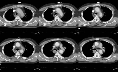
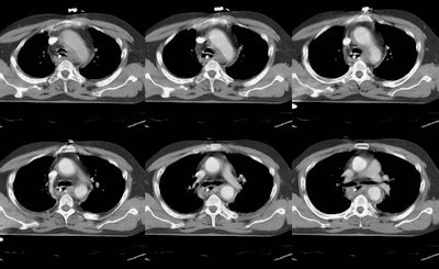
Traumatic Aortic Laceration
The chest CT and arteriogram on this patient are shown below. The CT demonstrates the presence of standy increased density within the mediastinal fat suggesting a mediastinal hematoma. There is also a focal change in the aortic caliber near the isthmus, and an intralumenal flap can be seen at this level (last image on top row, and first image on bottom row). Despite the CT findings, an arteriogram was performed which again demonstrated the post-traumatic aortic pseudoaneurysm.





















