
As it always does, this year's RSNA meeting in Chicago offered an invaluable glimpse of the major issues affecting radiology in 2013. Important trends in evidence this year at McCormick Place included questions about the future direction of radiology and the growing dominance of software over big iron.
1. Questions persist about radiology's direction
The RSNA meeting has always stood as a barometer for the overall health of radiology, and this year was no different. In fact, at RSNA 2013, many were watching the mercury in McCormick Place even more closely for signs that medical imaging will be pulling out of the slump that has plagued the specialty for the past half-decade.
The scene from McCormick Place.
So what conclusions can we draw? Unfortunately, not many, as radiology still seems to be stuck in a holding pattern. The economic crisis that prompted the slump in 2008 has receded, but in its place is uncertainty over the direction healthcare will take under the Affordable Care Act -- uncertainty that hasn't been alleviated by government shutdowns and malfunctioning websites.
On the positive side, at the end of the conference week, RSNA was reporting preliminary attendance figures of 53,169 -- basically unchanged from the 52,973 attendees at the same time the year before. But the 2012 meeting itself saw an attendance decline of 9% from 2011, and the conference hasn't come close to touching the high-water mark of 62,500 attendees in 2007.
And while the 2013 numbers were basically flat, they can't mask what seemed to be a markedly lower energy level in McCormick Place compared to past meetings. Some RSNA observers may have hoped that the consolidation of the technical exhibit from three buildings to two might liven things up, but there was plenty of elbow room at the show, and booth traffic on Sunday and Monday seemed particularly light.
Both the RSNA show and radiology seem to be moving into a new phase of what could be called the Era of Lowered Expectations. This has implications that at first blush seem negative, but perhaps aren't so bad once you adjust your perspective.
For the RSNA meeting, the new era could mean lower attendance, less booth traffic, and a slowdown in the number of new product introductions that represent radically new technologies. The show will also have more of an international flavor, and developments in imaging informatics software will continue to overshadow modality scanners. While many veteran RSNA-goers might be disappointed, the conference will still be one of the largest, most vibrant medical meetings in the world.
For radiology, the new era means lower reimbursement, reduced salaries, and less job security. Radiologists will have to work harder for less pay, and change their mindset to become more service-oriented toward both referring physicians and patients. Some radiologists may even -- gasp! -- become salaried employees for hospitals and other healthcare providers.
But even in this environment, radiology will remain one of the most intriguing specialties. Medical imaging's reach continues to grow, particularly as a tool for guiding minimally invasive surgery and for therapeutic monitoring. In fact, at least one pundit we spoke to at McCormick Place predicted that open surgical procedures may eventually go the way of exploratory surgery -- another once-common technique made obsolete by advances in medical imaging.
Somewhere, someplace, planning has already begun for RSNA 2014 -- the 100th edition of this august conference. Booth sizes may get tweaked and marketing budgets adjusted, but radiology will still be there to put on a show.
2. Everyone's talking about breast density and DBT
RSNA attendees heard much about breast tissue density as a cancer risk factor -- and what to do about it -- as well as clinical research that points to the efficacy of digital breast tomosynthesis (DBT) as a screening and diagnostic tool.
In a special-interest session held on Monday afternoon, Dr. Jennifer Harvey, of the University of Virginia, and Dr. Wendie Berg, PhD, of the University of Pittsburgh, gave an overview of the current advocacy movement promoting state and federal requirements to tell patients about their breast density, the risks associated with breast density, and supplemental imaging options.
And on Tuesday, Dr. Nicholas Perry from the London Breast Institute reported findings from a study that showed that the rate at which breast density changes in some women as they age may affect their breast cancer risk. The results suggest that perhaps women could undergo an early mammogram to establish density, which would then lead to enhanced screening for those with the densest breasts.
"Every year, 47,000 women under 50 are diagnosed with breast cancer," he said. "We need to develop tailored screening programs that consider a woman's personal risk."
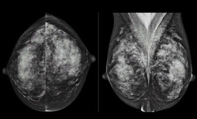
Images of woman with extremely dense breast tissue, which lowers the sensitivity of mammography. Courtesy of Dr. Wendie Berg, PhD.As for DBT, from posters to scientific sessions, researchers from around the world explored the technology's capabilities.
This research included a study that compared the performance of digital mammography alone to digital mammography plus tomosynthesis in detecting invasive lobular carcinoma, as well as another presentation that addressed the question of whether DBT can influence final BI-RADS assessment categories. Dr. Per Skaane from the University of Oslo presented research that showed that 2D images generated synthetically by a DBT device are clinically comparable to those acquired at conventional mammography -- cutting down on the radiation dose women receive.
In a press conference, Dr. Emily Conant of the University of Pennsylvania shared findings from a study that confirmed again that DBT reduces recall rates and increases cancer detection when it's used for breast cancer screening.
Tomosynthesis is still at an early stage of its development, and there were questions from RSNA attendees about whether focusing on it is really the best direction to take -- especially when there are also exciting developments in technology such as automated breast ultrasound, which doesn't add any additional radiation. Conant acknowledged this issue when she delivered her study findings.
"Tomosynthesis is not the solution to everything," she said. "But the technology is an exciting improvement on what we use routinely."
3. Informatics seizes the limelight
In the past, big iron scanner introductions drew the lion's share of attention at McCormick Place. One of the defining characteristics of the "new normal" for the RSNA meeting, however, may be the continued prominence of imaging informatics software in the exhibit halls and the scientific program.

Indeed, market interest in these technologies seemed to provide a rare sign of hope amidst the overall malaise that still seems to be plaguing much of radiology.
The push toward accountable care models and the ever-growing need for efficiency gains and smarter radiology workflow was the key driver behind much of the activity in radiology informatics at RSNA 2013. For example, a number of scientific papers and presentations highlighted the benefits of radiology clinical decision-support software for reducing the number of inappropriate imaging studies.
You also didn't have to look far in the exhibit hall to find a plethora of business analytics tools, including data-mining software, radiation dose monitoring tools, and dashboards that display radiology department metrics. The benefits of vendor-neutral archives (VNAs) for consolidating image management across specialties and integrated delivery networks were also once again front and center at the conference.
Particularly hot this year were universal viewers, which open the door to a patient-centric view of radiology and even cardiology images across a VNA or multiple PACS networks. Image viewers running on mobile devices -- whether dedicated mobile apps or HTML5-based zero-footprint viewers that run in any Web browser -- were also commonplace.
In line with continued interest in the utility of mobile devices for radiology applications, RSNA program planners set aside 3.5 hours on Monday morning for a multisession course that explored their benefits and usage.
Sharing images with patients has been a tricky issue for radiology for years, due to longstanding problems with CD-based methods. But radiologists appear to be warming to the idea thanks to software-based approaches for image sharing via patient-controlled portals and other Web-based methods. Radiologists are now recognizing that such tools offer vitally important ways to raise their profile before both patients and referring physicians.
PACS vendors also continue to incorporate advanced visualization techniques into their workstation software, allowing radiologists to make use of these increasingly vital capabilities without having to visit a secondary workstation. The growing reliance of radiologists on 3D and postprocessing capabilities for diagnostic tasks was evident throughout the RSNA scientific program, and quantitative imaging and computer-aided detection (CAD) technology also attracted notable attention this year.
Finally, radiation dose management has become a key issue for imaging sites, and a number of vendors at RSNA 2013 demonstrated software-based solutions for reporting and managing dose. Look for these applications to become even more important if more states follow the lead of California and Texas in requiring mandatory dose reporting.
4. Residents fret about jobs, but reality is less dire
Worried residents packed job-related sessions throughout the week at RSNA 2013, looking for pointers and, in some cases, any sign of hope that there might be a good job waiting for them after finishing training and amassing a small mountain of student debt. But their worst fears seem unfounded by an overall radiology market that appears to be relentlessly stable.

Lining up at the microphones after pep talks dubbed refresher courses, residents told horror stories from interviews and sought advice from experts across the U.S. -- who were there in large measure to assure them that things in radiology weren't so bad. Has the market reached bottom yet? Should I take a job I'm not thrilled with in a city in which I don't really want to live?
One job interviewee told of being asked what he thought of the Affordable Care Act. "I think the key is to wear beige," answered Dr. Jonathan Lewin from Johns Hopkins University, who advised attendees to be noncommittal with their answer. "You just can't win" by taking a definitive position either way, he said.
Dr. Fred Lee from the University of Wisconsin advised interviewees to be "relentlessly positive" in interviews, be yourself, and focus on being part of the team. Dr. Jannette Collins from the University of Cincinnati said that when 38 qualified candidates are applying for a single position, she can quickly discard most of them by separating out the applicants who sent a personalized thank you note after the interview from those who sent a form letter with her name inserted at the top. Same goes for resumes: Which candidates bothered send a thoughtful cover letter telling her why they want to work there? Those are the ones who get interviewed, Collins said.
But despite the apparent turmoil in the market, residents needn't fear that radiology jobs are going away. Dr. Edward Bluth, chair of the American College of Radiology's (ACR) Commission on Human Resources, discussed the results of the ACR 2013 workforce survey of more than 7,000 radiologists taken in January (and coming up again in January 2014).
While it's true that jobs in general radiology are down, comprising just 22% of all radiology jobs in 2013, compared with 37% in 2012, the loss was more than made up for by the rise in employment in nearly every subspecialty. Interventional radiology rose from 9% last year to 12% of all radiology jobs in 2013, neuroradiology rose from 8% to 12%, body imaging increased from 10% to 12%, and on down the list.
The bottom line is there is "no statistically significant difference" between the job market of 2013 and that of 2012. In fact, there were an additional projected 1,500 jobs for the taking in 2013. And barring unexpected sweeping political, economic, and legal changes, the highly stable radiology job market can be expected to remain so through 2016 and beyond, Bluth reported.
"Your first job isn't your last job," said Dr. Etta Pisano from the Medical University of South Carolina. She advised new radiologists to be enthusiastic about their first jobs, while continuing to explore an incredibly broad spectrum of opportunities available in today's radiology workplace -- from research to management, corporate consultation, and successful entrepreneurship.
"There will always be jobs for radiologists," Pisano told AuntMinnie.com before her talk. "We might make less money doing it, but the need isn't going away."
5. Medical imaging is no longer a healthcare cost driver
The general consensus at this year's RSNA meeting was that the rapid growth of advanced imaging use is over. But it remains unclear whether healthcare reformers are truly getting that message, according to presenter Dr. David C. Levin of Thomas Jefferson University Hospital.

"Imaging has been widely perceived to be a major cost driver, growing too rapidly and often overused or unnecessary," Levin said during a scientific session on December 3. "But anecdotal reports from various sources have suggested that advanced imaging is no longer growing."
Attendees at RSNA 2013 learned that the evidence pointing to a slowdown is more than just anecdotal. For example, Levin's group found that after nearly doubling from 2000 to 2009, the utilization of CT among Medicare beneficiaries fell in both 2010 and 2011. As for MRI, utilization nearly doubled between 2000 and 2006, but it remained relatively flat afterward through 2011.
And in another study, Dr. Atul Shinagare, from Brigham and Women's Hospital, and colleagues reported that inpatient imaging utilization at their institution dropped after 2009 following two decades of growth. Utilization grew 26% in aggregate from 2003 to 2009 but then dropped 15% from 2009 to 2012.
The findings raise questions about the accuracy of the data that regulators are using to determine reimbursement cuts. Dr. David Rosman of Massachusetts General Hospital presented findings demonstrating that more than half of Medicare payments for diagnostic imaging services are made to nonradiologists. This needs to be taken into consideration as payment methodologies evolve from traditional fee-for-service to various bundled and capitated models, he said.
Will data presented at RSNA 2013 persuade federal bureaucrats to back off on additional cuts to radiology reimbursement? Perhaps we'll know better at RSNA 2014.















